Caso clínico: Quiste epidermoide intracraneal en un gato
China Ashida2
Ikuya Ehara2- 1Centro Médico de Referencia de Animales de KyotoAR, Kumiyama, Japón
- 2Centro Médico Animal St. Luke’s, Toyonaka, Japón
Un macho americano de pelo corto castrado de 9 años de edad, con un peso de 4,3 kg, acudió a nuestro hospital por ataxia intermitente y tetraparesia de 6 semanas de evolución. En el momento de la presentación, el gato estaba en estupor y en decúbito, y presentaba nistagmo vertical en ambos ojos. Estos signos clínicos sugerían un trastorno del tronco encefálico. La resonancia magnética mostró una lesión masiva en la cara caudal del cuarto ventrículo con hiperintensidad en las imágenes ponderadas en T2 y FLAIR, de baja intensidad en las imágenes ponderadas en T1 y márgenes mejorados en las imágenes ponderadas en T1 posteriores al contraste. La masa comprimió el cuarto ventrículo, causando hidrocefalia obstructiva. Se encontró una segunda lesión quística rostral al cerebelo. Después de la resonancia magnética, el gato experimentó dificultades respiratorias y la masa se extirpó mediante craniectomía de emergencia. Aunque la masa, incluida la pared del quiste, se extirpó con éxito, el gato fue sacrificado porque la respiración espontánea no regresó. La masa fue diagnosticada histopatológicamente como quiste epidermoide. No se había realizado una biopsia de la lesión quística rostral, por lo que la etiología de esta lesión seguía sin estar clara. Este es el primer caso de quiste epidermoide intracraneal felino en el que se realizó resonancia magnética y extirpación quirúrgica. Los hallazgos de la resonancia magnética fueron similares a los de los humanos y los perros, lo que sugiere que los estudios de imagen son útiles en gatos para el diagnóstico del quiste epidermoide intercraneal.
Introducción
Los quistes epidermoides son lesiones quísticas benignas en las que las células epidérmicas migran ectópicamente durante el desarrollo (1-3). Forman quistes revestidos por epitelio escamoso estratificado, dentro del cual se acumula material queratinizado exfoliado y se agranda gradualmente. También se le llama colesteatoma debido a sus características macroscópicas (3, 4).
Los quistes epidermoides intracraneales a menudo se desarrollan en el ángulo pontocerebeloso y el cuarto ventrículo. A medida que se agrandan gradualmente, comprimen el cerebelo y la médula, causando signos neurológicos, como trastornos vestibulares centrales (2, 4). Estas lesiones se han descrito en humanos, caballos, perros y ratas (2, 5-7), y solo se ha descrito un caso en un gato (8). En este informe, no se realizaron imágenes ni cirugía, se practicó la eutanasia al paciente y el diagnóstico se realizó en la necropsia.
En el presente caso, tuvimos la oportunidad de extirpar quirúrgicamente un quiste epidermoide que se desarrolló caudal hasta el cuarto ventrículo de un gato. Hasta donde sabemos, no ha habido informes previos de extirpación quirúrgica o resonancia magnética (RM) de quistes epidermoides intracraneales en gatos.
Presentación del caso
Se trata de un macho americano de pelo corto de 9 años, castrado, de 4,3 kg de peso. Durante 6 semanas, el gato había mostrado tetraparesia intermitente y ataxia propioceptiva. El gato no presentaba otros signos clínicos, con actividad y apetito normales. No se encontraron anomalías en el examen físico, el hemograma completo (CBC), la prueba bioquímica de sangre y la ecografía cardíaca en la clínica de atención primaria. No se instituyó ningún tratamiento en este momento. Sin embargo, la marcha anormal continuó de forma intermitente y el gato se cayó por las escaleras una vez. Unos días después de caer, el gato acudió al hospital de urgencias tras sufrir un colapso y dificultad respiratoria. La radiografía de tórax y abdomen no reveló anomalías. El paciente fue remitido al servicio de neurología de nuestro hospital.
En la presentación, el gato estaba en un estado de estupor con una postura recostada. Presentaba taquicardia (200 lpm) e hipertermia (39,3°C). El gato era tetraparético no ambulatorio y mostraba ausencia de reacciones posturales, un leve aumento de los reflejos espinales y una disminución de la percepción superficial del dolor en todas las extremidades. Se observó nistagmo vertical en ambos ojos, que se exacerbó al colocar al gato en decúbito dorsal. El diámetro pupilar en reposo de ambos ojos era de rango medio, pero los reflejos pupilares directos e indirectos a la luz estaban disminuidos. El hemograma completo y las pruebas bioquímicas de sangre no tuvieron nada de especial. El examen neurológico era compatible con un trastorno del tronco encefálico y se indicó una resonancia magnética del cerebro.
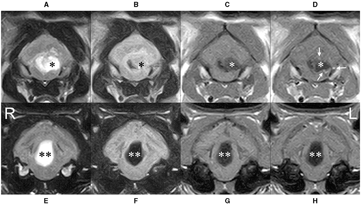
El paciente fue premedicado con midazolam (Dormicum, Maruishi Pharmaceutical Co., Osaka, Japón; 0,2 mg/kg IV) y anestesiado con propofol (PropoFlo28, Zoetis Japan, Tokio, Japón) inyectable para hacer efecto. Después de la intubación endotraqueal, se mantuvo la anestesia general con sevoflurano al 2% (SEVOFLO, Maruishi Pharmaceutical Co., Osaka, Japón). La resonancia magnética se realizó con 0,3T AIRIS Vento (Hitachi, Tokio, Japón) con planos sagital, transversal y dorsal en imágenes ponderadas en T2 (TR/TE = 4.000/100); planos transversales en imágenes ponderadas en T1 (TR/TE = 380/15); y la recuperación de inversión atenuada por fluidos (FLAIR; TR/TE = 9.000/100). También se realizaron planos sagital, transversal y dorsal de imágenes ponderadas en T1 después de la inyección intravenosa de gadolinio (OMNISCAN 32%, GE HealthCare Pharma Co., Tokio, Japón; 64 mg/kg IV). La resonancia magnética reveló una lesión de masa extraaxial en la médula dorsal y el cuarto ventrículo caudal, comprimiendo la médula ventralmente y el cerebelo dorsalmente (Figura 1). La masa era de alta intensidad en las imágenes ponderadas en T2 y FLAIR, de baja intensidad en las imágenes ponderadas en T1 (superior a la señal del líquido cefalorraquídeo) y se realzó en los márgenes en las imágenes ponderadas en T1 posteriores al contraste (Figura 2). El tercer ventrículo, los ventrículos laterales y el ventrículo olfatorio estaban agrandados, y los surcos estaban oscurecidos en su totalidad. A partir de estos hallazgos, sospechamos que el paciente presentaba una hidrocefalia obstructiva secundaria a una lesión masiva caudal al cuarto ventrículo. Los quistes epidermoides, los divertículos aracnoideos, los abscesos y las neoplasias (p. ej., meningioma, linfoma y ependimoma) fueron diagnósticos diferenciales de la masa (8-11). Se consideró necesario un examen histopatológico para el diagnóstico. Se encontró una segunda lesión quística entre el tectum y el cerebelo, dorsal a la cisterna cuadrigeminal. Esta lesión mostró el mismo patrón de señal que el líquido cefalorraquídeo: alta intensidad en las imágenes ponderadas en T2, baja intensidad en las imágenes ponderadas en T1 y en las imágenes FLAIR y sin realce de contraste. Se sospechó que esta lesión concurrente era un divertículo aracnoideo, pero el significado clínico de la lesión no estaba claro.


Aunque la recuperación se retrasó después de la resonancia magnética, el paciente fue extubado temporalmente después de la administración de glicerina concentrada (GLYCEOL, TAIYO Pharma Co., Tokio, Japón; 1 g/kg IV lento), prednisolona (Prednisolona, Kyoritsu Seiyaku Co., Tokio, Japón; 1 mg/kg SC), furosemida (inyección de flosemida, Nichi-Iko Pharmaceutical Co., Toyama, Japón; 1 mg/kg IV). Sin embargo, se reintubó cuando el paciente dejó de respirar y no se reanudó la respiración espontánea, tras lo cual se realizó craniectomía de urgencia.
Se realizó una incisión en la línea media para un abordaje occipital de la médula dorsal. Después de la incisión dural, se observó una masa blanca ligeramente brillante en el lado ventral del borde caudal del cerebelo (Figura 3). La masa era más firme que el parénquima cerebral y tenía una estructura quística. La citología de impronta intraoperatoria del contenido del quiste con tinción Diff-Quick (SYSMEX Co., Kobe, Japón) reveló queratinocitos desnucleados. No se observaron patógenos bacterianos. Después de la descompresión interna mediante la extirpación del contenido del quiste, se extirpó la pared del quiste. El parénquima cerebral no se reubicó y permaneció deprimido después de la extirpación de masa. Cubrimos el defecto de la craneectomía con un colgajo libre de fascia temporal y aplicamos pegamento de fibrina (Beriplast P Combi-Set Tissue adhesion, CSL Behring K.K., Tokio, Japón). La herida se cerró mediante un método estándar. Las lesiones extirpadas se fijaron en solución de formol al 10%. No se realizó ningún examen cultural.

Fentanilo (DAIICHI SANKYO Co., Tokio, Japón; infusión de 3 μg/kg/h a tasa constante) para analgesia y cefazolina (Sefazolin sódico, KOA ISEI Co., Yamagata, Japón; 20 mg/kg IV) como antibiótico se administraron durante la cirugía con infusión de líquido cristaloide. En el postoperatorio, el paciente no reanudó la respiración espontánea y fue sacrificado después de 22 h de manejo con ventilador. No se realizó necropsia.
El examen histopatológico del tejido presentado fue compatible con quiste epidermoide intracraneal (Figura 4). La pared del quiste estaba compuesta por epitelio escamoso estratificado queratinizado hacia adentro, y la cavidad del quiste contenía materiales queratinizados. Células gigantes multinucleadas y macrófagos infiltrados en la sustancia blanca cerebelosa circundante, en la que se observó queratinización multicapa con fibrogliosis.

Discusión
Anteriormente, solo hay un reporte de quiste epidermoide intracraneal en un gato (8). En este informe, todos los resultados se basaron en la evaluación de la necropsia. En el caso que nos ocupa, se ha realizado una resonancia magnética y un tratamiento quirúrgico y se trata del primer reporte de esta lesión en un gato. En ambos casos, las lesiones se localizaron adyacentes al cuarto ventrículo. De manera similar, es probable que se desarrollen quistes epidermoides intracraneales en ángulos pontocerebelosos en humanos y perros (4, 12). Si bien se han reportado esporádicamente perros de raza pura con quistes epidermoides intracraneales (6, 13), no hay informes que sugieran una predisposición genética. Actualmente hay muy pocos casos felinos para comentar sobre la raza o las predisposiciones genéticas. En los perros, los quistes epidermoides intracraneales generalmente ocurren en la edad adulta de 7 años o menos (6, 13, 14). Se necesita tiempo para que estas lesiones se desarrollen y se expandan a pesar de la sospecha de una patología congénita. En los seres humanos, se ha informado que ocurren a menudo en la mediana edad, como los 30-40 años (3), y en otro informe oscilan ampliamente entre los 16 y los 78 años (15). Ambos casos felinos eran de edad temprana a mediana edad, lo que coincide con los informes en humanos y perros.
En nuestro caso, el quiste se representó en la resonancia magnética como un quiste ovalado bien definido junto al cuarto ventrículo. El interior del quiste mostró alta intensidad en las imágenes ponderadas en T2 y FLAIR, baja intensidad en las imágenes ponderadas en T1, y la pared del quiste se realzó ligeramente con el medio de contraste en un patrón similar a un anillo. Se ha reportado un patrón de señal similar en quistes epidermoides caninos, lo que sugiere que tales hallazgos de imágenes pueden ser comunes en gatos y perros (1, 4). Existe muy poca información a la hora de considerar el diagnóstico diferencial de las lesiones quísticas en el cuarto ventrículo en gatos, ya que hasta el momento solo se han descrito abscesos y divertículos aracnoideos (10). En los perros, los quistes dermoides, los quistes del plexo coroideo y los quistes ependimarios son otras lesiones quísticas en el cuarto ventrículo, y se pueden diferenciar de los quistes epidermoides mediante resonancia magnética (1, 4, 16, 17). En las imágenes T1W con contraste, los abscesos muestran una lesión en forma de anillo más gruesa que los quistes epidermoides y los quistes del plexo coroideo muestran un realce de contraste fuerte y homogéneo (10, 16). Los divertículos aracnoideos y los quistes ependimarios muestran baja intensidad en las imágenes FLAIR (1, 17). Los quistes dermoides son similares a los quistes epidermoides en el sentido de que contienen epitelio escamoso estratificado, pero se distinguen histológicamente por la presencia de órganos que forman los folículos pilosos, como el cabello, las glándulas sudoríparas y las glándulas sebáceas en los quistes dermoides. Es por eso que los quistes dermoides a menudo muestran una alta intensidad heterogénea en la RM ponderada en T1 debido a la presencia de lípidos, mientras que los quistes epidermoides a menudo muestran una intensidad baja (1, 4). Otras lesiones masivas, no necesariamente quísticas, que pueden ocurrir en el cuarto ventrículo en los gatos son tumores, incluidos el meningioma, el linfoma, el ependimoma y los tumores metastásicos (11, 18, 19). Estos tumores a menudo muestran un realce de contraste de moderado a fino (11, 20), mientras que los quistes epidermoides suelen mostrar un ligero realce de los anillos. Aunque el diagnóstico definitivo requiere una evaluación patológica, los hallazgos de la resonancia magnética en nuestro caso apoyan el diagnóstico de un quiste epidermoide y son comparables a los informes de otras especies.
La resonancia magnética reveló una segunda lesión quística rostral al cerebelo. Esta lesión era adyacente a la cisterna cuadrigeminal y tenía el mismo patrón de señal que el líquido cefalorraquídeo, compatible con un divertículo aracnoideo. Aunque se han reportado pocos casos en gatos con divertículo aracnoideo, son comunes en perros y son hallazgos incidentales en más de la mitad de los casos (21). La tasa de compresión cerebelosa en nuestro caso fue de ~30%, que fue más alta que los casos caninos reportados. Sin embargo, no se ha demostrado una relación significativa entre la tasa de compresión cerebelosa y los signos clínicos en perros (21). Por lo tanto, se desconocían los aportes clínicos de esta lesión concurrente que comprime el bulbo raquídeo o el cerebelo en nuestro caso. Otras diferencias para esta lesión incluyeron lesiones quísticas verdaderas como quistes del plexo coroideo (22), tumores quísticos como meningiomas y reemplazo por líquido cefalorraquídeo después de la atrofia cerebelosa. Son necesarios exámenes histopatológicos para confirmar su naturaleza.
En los seres humanos, la extirpación quirúrgica de los quistes epidermoides intracraneales es el tratamiento de elección, y se espera que la extirpación completa de la lesión dé lugar a un buen pronóstico (2, 15). En el presente caso, el quiste epidermoide fue extirpado por vía occipital, pero el paciente no recuperó la respiración espontánea después de la cirugía. Este paciente ya estaba en paro respiratorio antes de la cirugía, lo que sugiere una lesión grave de la médula antes de la cirugía, pero se desconoce si la cirugía contribuyó a la falta de mejoría o si simplemente intervinimos demasiado tarde. En perros, un quiste epidermoide en el cuarto ventrículo fue tratado quirúrgicamente previamente, y los signos clínicos empeoraron de manera similar después de la cirugía (13). Es difícil concluir si se recomienda la cirugía en perros y gatos sobre la base de estos dos informes. En gatos, se ha descrito el abordaje lateral de meningiomas en la fosa cerebelosa, en el que no se observó ninguna complicación (23). Este abordaje es una técnica quirúrgica que manipula la fosa caudal entre el osio tentorio y la cresta nucal desde la cara lateral y se considera que tiene la ventaja de causar menos daño al parénquima cerebral, como la médula. Esta técnica puede haber mejorado el curso clínico del presente caso. Sin embargo, debido a que los quistes epidermoides a menudo se localizaban ventral al cerebelo y estaban cubiertos por hemisferios cerebelosos, puede haber sido difícil observar las lesiones macroscópicamente solo por el abordaje lateral.
En los quistes epidermoides intracraneales humanos, la resección incompleta del epitelio escamoso que compone la pared quística conduce a la recurrencia, por lo que el pronóstico depende de si se logra una resección quirúrgica completa (2). En perros, se han reportado casos de sospecha de recurrencia postoperatoria en quistes epidermoides intracraneales y de la médula espinal (13, 24). Hay pocos estudios sobre los resultados quirúrgicos y el pronóstico en animales, y se necesitan más estudios para determinar el mejor momento y enfoque para el tratamiento quirúrgico de los quistes epidermoides.
Hay varias limitaciones en el caso que presentamos aquí. En primer lugar, las contribuciones clínicas de la lesión similar a un quiste rostral aún no estaban claras. No se realizó ningún examen histopatológico de esta lesión, mientras que la lesión extirpada se diagnosticó como un quiste epidermoide. Existía la posibilidad de que el gato no recuperara la respiración espontánea debido no solo al quiste epidermoidal, sino también a la lesión concurrente. Otra limitación de nuestra descripción es el uso de una resonancia magnética de campo bajo. Sin embargo, las imágenes de RM en este caso son similares a las imágenes en el caso canino que también se realizaron con RM de bajo campo (6). Otros reportes que utilizaron resonancia magnética de alto campo mostraron una ligera heterogeneidad en los quistes epidermoides (13), que difiere en algunos aspectos de las imágenes del presente caso. En tercer lugar, la información de la evolución clínica era limitada. La presentación a nuestro servicio fue aproximadamente 6 semanas después del inicio de la enfermedad, y se faltaron detalles durante este tiempo. Además, no fue posible obtener información sobre la evolución postoperatoria a largo plazo de este caso debido a que el paciente falleció después de la cirugía. Con el fin de demostrar que la cirugía puede ser el tratamiento estándar de los quistes epidermoides intracraneales en gatos, es necesario experimentar una serie de casos exitosos con supervivencia a largo plazo.
En resumen, los quistes epidermoides intracraneales felinos se consideran masas histológicamente benignas que causan trastornos vestibulares centrales debido a sus características anatómicas de predominio alrededor del cuarto ventrículo. La resección quirúrgica puede ser necesaria para el tratamiento; Sin embargo, el pronóstico aún no está claro.
Declaración de disponibilidad de datos
Las contribuciones originales presentadas en el estudio están incluidas en el artículo/material complementario, las consultas posteriores pueden dirigirse al autor de correspondencia.
Declaración ética
No se requirió aprobación ética para los estudios con animales de acuerdo con la legislación local y los requisitos institucionales porque el gato fue tratado como un caso clínico. Se obtuvo el consentimiento informado por escrito de los propietarios para la participación de sus animales en este estudio. Se obtuvo el consentimiento informado por escrito de los propietarios de los animales para la publicación de este informe de caso.
Contribuciones de los autores
MT: Redacción – borrador original, conceptualización, curación de datos, análisis formal. TU: Curación de datos, redacción, revisión y edición. HH: Visualización, Redacción – revisión y edición, Curación de datos. CA: Curación de datos, redacción, revisión y edición. IE: Escritura – revisión y edición, Curación de datos. TO: Redacción – revisión y edición, Curación de datos. HK: Supervisión, redacción, revisión y edición.
Financiación
El/los autor/es declara(n) que no se recibió apoyo financiero para la investigación, autoría y/o publicación de este artículo.
Conflicto de intereses
Los autores declaran que la investigación se llevó a cabo en ausencia de relaciones comerciales o financieras que pudieran interpretarse como un posible conflicto de intereses.
Nota del editor
Todas las afirmaciones expresadas en este artículo son únicamente las de los autores y no representan necesariamente las de sus organizaciones afiliadas, ni las del editor, los editores y los revisores. Cualquier producto que pueda ser evaluado en este artículo, o afirmación que pueda hacer su fabricante, no está garantizado ni respaldado por el editor.
Referencias
1. MacKillop E. Resonancia magnética de malformaciones intracraneales en perros y gatos. Ecografía Radiol Veterinaria. (2011) 52(1Suppl.1):S42–51. doi: 10.1111/j.1740-8261.2010.01784.x
Resumen de PubMed | Texto completo de Crossref | Google Académico
2. Kumar S, Sahana D, Rathore L, Sahu RK, Jain A, Borde P, et al. Quiste epidermoide del cuarto ventrículo – serie de casos, revisión sistemática y análisis. Asiático J Neurosurg. (2021) 16:470–82. doi: 10.4103/ajns. AJNS_539_20
Resumen de PubMed | Texto completo de Crossref | Google Académico
3. Hoang VT, Trinh CT, Nguyen CH, Chansomphou V, Tran TTT. Descripción general del quiste epidermoide. Eur J Radiol Abierto. (2019) 6:291–301. doi: 10.1016/j.ejro.2019.08.003
Resumen de PubMed | Texto completo de Crossref | Google Académico
4. Platt S, Hicks J, Matiasek L. Divertículos intracraneales intraaracnoideos y anomalías similares a quistes del cerebro. Vet Clin North Am Pequeño Anim Pract. (2016) 46:253–63. doi: 10.1016/j.cvsm.2015.10.004
Resumen de PubMed | Texto completo de Crossref | Google Académico
5. Peters M, Brandt K, Wohlsein P. Quiste epidermoide intracraneal en un caballo. J Comp Pathol. (2003) 129:89–92. doi: 10.1016/S0021-9975(02)00169-X
Resumen de PubMed | Texto completo de Crossref | Google Académico
6. Steinberg T, Matiasek K, Brühschwein A, Fischer A. Diagnóstico por imagen: quiste epidermoide intracraneal en un Doberman Pinscher. Ecografía Radiol Veterinaria. (2007) 48:250–3. doi: 10.1111/j.1740-8261.2007.00238.x
Resumen de PubMed | Texto completo de Crossref | Google Académico
7. Sugimoto T, Misawa Y, Niki R. Quiste epidérmico intracraneal en una rata Sprague-Dawley. J Vet Med Sci. (1994) 56:577–9. doi: 10.1292/jvms.56.577
Resumen de PubMed | Texto completo de Crossref | Google Académico
8. Mazaro RD, Lorenzetti DM, Paz MC, Fighera RA. Quiste epidermoide intracraneal en un gato. Ciência Rural. (2021) 51:e20200754. doi: 10.1590/0103-8478cr20200754
9. Reed S, Cho DY, Paulsen D. Quistes aracnoideos cuadrigeminales en un gatito y un perro. J Vet Diagn Invertir. (2009) 21:707–10. doi: 10.1177/104063870902100519
Resumen de PubMed | Texto completo de Crossref | Google Académico
10. Sturges BK, Dickinson PJ, Kortz GD, Berry WL, Vernau KM, Wisner ER, et al. Signos clínicos, características de la resonancia magnética y resultados después del tratamiento quirúrgico y médico de la infección intracraneal otogénica en 11 gatos y 4 perros. J Veterinario Pasante Med. (2006) 20:648–56. doi: 10.1111/j.1939-1676.2006.tb02910.x
Resumen de PubMed | Texto completo de Crossref | Google Académico
11. Troxel MT, Vite CH, Massicotte C, McLear RC, Van Winkle TJ, Glass EN, et al. Características de la resonancia magnética en la neoplasia intracraneal felina: análisis retrospectivo de 46 gatos. J Veterinario Pasante Med. (2004) 18:176–89. doi: 10.1111/j.1939-1676.2004.tb00158.x
Resumen de PubMed | Texto completo de Crossref | Google Académico
12. Nagasawa D, Yew A, Safaee M, Fong B, Gopen Q, Parsa AT, et al. Características clínicas y diagnóstico por imagen de los tumores epidermoides. J Clin Neurosci. (2011) 18:1158–62. doi: 10.1016/j.jocn.2011.02.008
Resumen de PubMed | Texto completo de Crossref | Google Académico
13. De Decker S, Davies E, Benigni L, Wilson H, Pelligand L, Rayner EL, et al. Tratamiento quirúrgico de un quiste epidermoide intracraneal en un perro. Cirugía veterinaria. (2012) 41:766–71. doi: 10.1111/j.1532-950X.2012.01010.x
Resumen de PubMed | Texto completo de Crossref | Google Académico
14. Platt SR, Graham J, Chrisman CL, Adjiri-Awere A, Clemmons RM. Quiste epidermoide intracraneal canino. Ecografía Radiol Veterinaria. (1999) 40:454–8. doi: 10.1111/j.1740-8261.1999.tb00374.x
Resumen de PubMed | Texto completo de Crossref | Google Académico
15. Hasegawa H, Vakharia K, Carlstrom LP, Van Gompel JJ, Driscoll CLW, Carlson ML, et al. Resultados quirúrgicos a largo plazo de los tumores epidermoides intracraneales: impacto de la extensión de la resección en la recurrencia y los resultados funcionales en 63 pacientes. J Neurosurg. (2021) 2021:1–9. doi: 10.3171/2021.5.JNS21650
Resumen de PubMed | Texto completo de Crossref | Google Académico
16. Brewer DM, Cerda-Gonzalez S, Dewey CW, Coates JR. Diagnóstico y resección quirúrgica de un quiste de plexo coroideo en un perro. J Pequeña Anim Pract. (2010) 51:169–72. doi: 10.1111/j.1748-5827.2009.00855.x
Resumen de PubMed | Texto completo de Crossref | Google Académico
17. Wyss-Fluehmann G, Konar M, Jaggy A, Vandevelde M, Oevermann A. Quiste ependimario cerebeloso en un perro. Veterinario Pathol. (2008) 45:910–3. DOI: 10.1354/VP.45-6-910
Resumen de PubMed | Texto completo de Crossref | Google Académico
18. Troxel MT, Vite CH, Van Winkle TJ, Newton AL, Tiches D, Dayrell-Hart B, et al. Neoplasia intracraneal felina: revisión retrospectiva de 160 casos (1985-2001). J Veterinario Pasante Med. (2003) 17:850–9. doi: 10.1111/j.1939-1676.2003.tb02525.x
Resumen de PubMed | Texto completo de Crossref | Google Académico
19. Woolford L, de Lahunta A, Baiker K, Dobson E, Summers BA. Tumores ependimarios ventriculares y extraventriculares en 18 gatos. Veterinario Pathol. (2013) 50:243–51. doi: 10.1177/0300985812452580
Resumen de PubMed | Texto completo de Crossref | Google Académico
20. Durand A, Keenihan E, Schweizer D, Maiolini A, Guevar J, Oevermann A, et al. Características clínicas y de resonancia magnética del linfoma que compromete el sistema nervioso en gatos. J Veterinario Pasante Med. (2022) 36:679–93. doi: 10.1111/jvim.16350
Resumen de PubMed | Texto completo de Crossref | Google Académico
21. Matiasek LA, Platt SR, Shaw S, Dennis R. Características clínicas y de resonancia magnética de los quistes cuadrigeminales en perros. J Veterinario Pasante Med. (2007) 21:1021–6. doi: 10.1111/j.1939-1676.2007.tb03059.x
22. Debreuque M, Ducerveau MN, Valin I, de Fornel P, Manassero M, Thibaud JL. Lesión quística ventricular lateral sintomática en un gato joven. JFMS Open Rep. (2020) 6:2055116920930181. doi: 10.1177/2055116920930181
Resumen de PubMed | Texto completo de Crossref | Google Académico
23. Kent M, Glass EN, Schachar J. Abordaje lateral de la fosa cerebelosa felina: reporte de un caso e identificación de un punto de referencia externo para el osio tentorio. J Feline Med Surg. (2020) 22:358–65. doi: 10.1177/1098612X19869699
Resumen de PubMed | Texto completo de Crossref | Google Académico
24. Devathasan D, Murakami M, Miller MA, Thomovsky SA, Lewis MJ. Caso clínico: recidiva de un quiste epidermoide espinal extradural tras una exéresis quirúrgica en un perro. Frente Vet Sci. (2022) 9:871023. doi: 10.3389/fvets.2022.871023
Resumen de PubMed | Texto completo de Crossref | Google Académico
Palabras clave: cerebro, colesteatoma, craniectomía, quiste epidermoide, felino, cuarto ventrículo, quiste intracraneal, resonancia magnética
Cita: Terao M, Uemura T, Hasegawa H, Ashida C, Ehara I, Ozawa T y Kamishina H (2024) Reporte de caso: Quiste epidermoide intracraneal en un gato. Frente. Vet. Sci. 11:1426421. doi: 10.3389/fvets.2024.1426421
Recibido: 01 de mayo de 2024; Aceptado: 13 de agosto de 2024;
Publicado: 23 de septiembre de 2024.
Editado por:
Theresa Elizabeth Pancotto, Virginia Tech, Estados Unidos
Revisado por:
Koen Santifort, IVC Evidensia Small Animal Referral Hospital Arnhem, Países Bajos
Maria Teresa Mandara, Universidad de Perugia, Italia
Derechos de autor © 2024 Terao, Uemura, Hasegawa, Ashida, Ehara, Ozawa y Kamishina. Este es un artículo de acceso abierto distribuido bajo los términos de la Licencia Creative Commons Atribución (CC BY).
*Correspondencia: Hiroaki Kamishina, kamishina@kyotoar.com
Renuncia: Todas las afirmaciones expresadas en este artículo son únicamente las de los autores y no representan necesariamente a las de sus organizaciones afiliadas, o las del editor, de los editores y de los revisores. Cualquier producto que puede ser evaluada en este artículo o afirmación que puede ser hecha por su El fabricante no está garantizado ni respaldado por el editor.
Date de alta y recibe nuestro 👉🏼 Diario Digital AXÓN INFORMAVET ONE HEALTH
Date de alta y recibe nuestro 👉🏼 Boletín Digital de Foro Agro Ganadero
Noticias animales de compañía
Noticias animales de producción
Trabajos técnicos animales de producción
Trabajos técnicos animales de compañía

