Colecistectomía por litiasis biliar canina
Colecistectomía por litiasis biliar canina. Caso clínico
Laia Inés Custodi Valero
DVM, MS, PGDipUAB., en proceso de acreditación
AVEPA de Cirugía de Tejidos Blandos (GECIRA).
CV Quevedog, calle Fernández de los Ríos 32,
RESUMEN
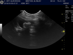
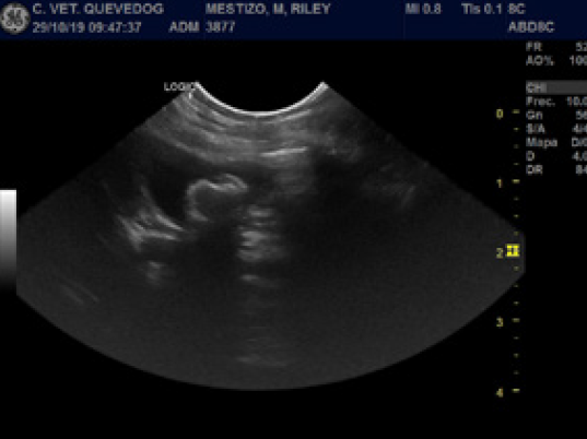
La colelitiasis es una enfermedad poco común en los perros. Los signos clínicos suelen ser inespecíficos y la frecuencia de colelitiasis sintomática es baja. Sin embargo, si evoluciona puede provocar una obstrucción biliar extrahepática con consecuencias sistémicas graves. Se presentó un Spaniel Japonés de 11 años por aparentes episodios recurrentes de dolor abdominal agudo con 1 semana de duración. 3 meses antes fue dado de alta por un episodio de colecistitis manejado con tratamiento conservador.
Se realizaron varias pruebas laboratoriales (hemograma, bioquímica y urianálisis) y tras un estudio ecográfico abdominal se observaron varios colecistolitos. Se realizó una colecistectomía por laparotomía convencional y se verificó la permeabilidad del conducto cístico y colédoco mediante cateterización y flushing normógrados. No hubo complicaciones intraquirúrgicas y el dolor abdominal se resolvió completamente. En este caso, se consiguió la resolución completa de la sintomatología patológica derivada de la presencia de colelitos biliares mediante una corrección quirúrgica electiva y temprana.
Descargar aquí
cv-125-jul-y-ago (1)
Date de alta y recibe nuestro 👉🏼 Diario Digital AXÓN INFORMAVET ONE HEALTH
Date de alta y recibe nuestro 👉🏼 Boletín Digital de Foro Agro Ganadero
Noticias animales de compañía
Noticias animales de producción
Trabajos técnicos animales de producción
Trabajos técnicos animales de compañía
