Derrame pleural agudo en un perro
- Se presentó a Marcus, un mestizo de Golden Retriever macho castrado de 77 lb (35 lb), con una historia de 3 días de aumento del esfuerzo respiratorio. El propietario notó que Marcus había estado jadeando cuando descansaba pero no tosía ni tenía náuseas. Estaba al día con las vacunas y los preventivos contra pulgas y garrapatas y no tenía traumas conocidos, ingestión de cuerpos extraños o exposición a garrapatas o toxinas.
Examen físico
En el examen, Marcus fue taquipneico con una frecuencia respiratoria de 60 lpm y un leve aumento en el esfuerzo espiratorio. Su frecuencia cardíaca era de 144 lpm, las membranas mucosas eran de color rosa y los pulsos eran fuertes y sincrónicos. Su temperatura fue ligeramente elevada a 103.2 ° F (39.6 ° C). En la auscultación, los ruidos cardíacos y pulmonares fueron normales en el lado derecho pero disminuyeron en el izquierdo. El resto del examen no fue notable.
Diagnóstico
Las radiografías torácicas laterales derechas revelaron una gran cantidad de opacidad de líquido / tejido blando que oscurece la silueta cardíaca. Las radiografías ventrodorsales mostraron un aumento de la opacidad de los tejidos blandos en el hemitórax izquierdo, principalmente en los campos del pulmón craneal y medio. En el hemitórax izquierdo se observó un patrón intersticial leve, una línea de fisura pleural y borramiento del borde en el corazón (Figura 1).
Los hallazgos radiográficos sugirieron una combinación de enfermedad pulmonar y del espacio pleural. Los diagnósticos diferenciales incluyeron derrame pleural (p. Ej., Hemotórax, piotórax, quilotórax, hidrotórax, neoplasia) y la masa del espacio pleural o efecto de masa (p. Ej., Neoplasia, consolidación o torsión del lóbulo pulmonar, absceso / granuloma).
Los resultados de CBC, perfil químico del suero, gas de sangre venosa, análisis de orina y panel de coagulación (tiempo de protrombina, tiempo de tromboplastina parcial activada) estuvieron dentro de los límites normales.
El derrame pleural se confirmó mediante ecografía torácica y se realizó una toracocentesis terapéutica; Se retiraron 650 ml de líquido serosanguinoso del lado izquierdo (Figura 2) y 150 ml del lado derecho. El volumen celular empaquetado y los sólidos totales del líquido fueron 4% y 3.5 g / dL, respectivamente, y la citología demostró un exudado inflamatorio crónico hemorrágico, neutrófilo e histiocítico con hiperplasia de células mesoteliales, lo que sugiere inflamación sin evidencia manifiesta de infección o neoplasia.
Las radiografías obtenidas después de la toracocentesis demostraron un derrame pleural mejorado y la consolidación del lóbulo medio izquierdo del pulmón (Figura 3). Basado en el abultamiento de los tejidos blandos cerca del hilio y el broncoramón de aire que se extiende cranealmente, el diferencial primario fue la torsión del lóbulo pulmonar (LLT). Otras consideraciones incluyen masa pulmonar, absceso o granuloma.
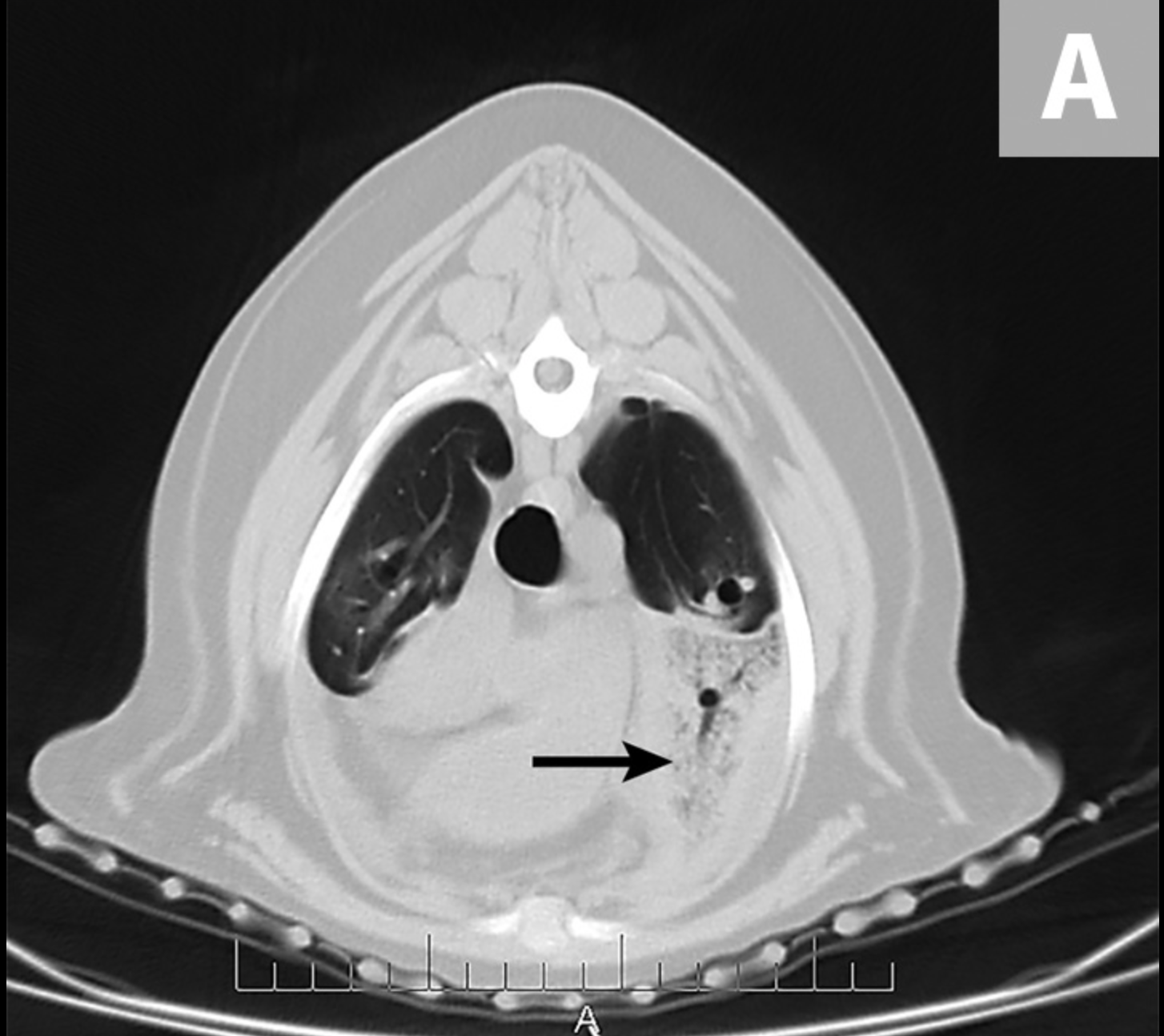
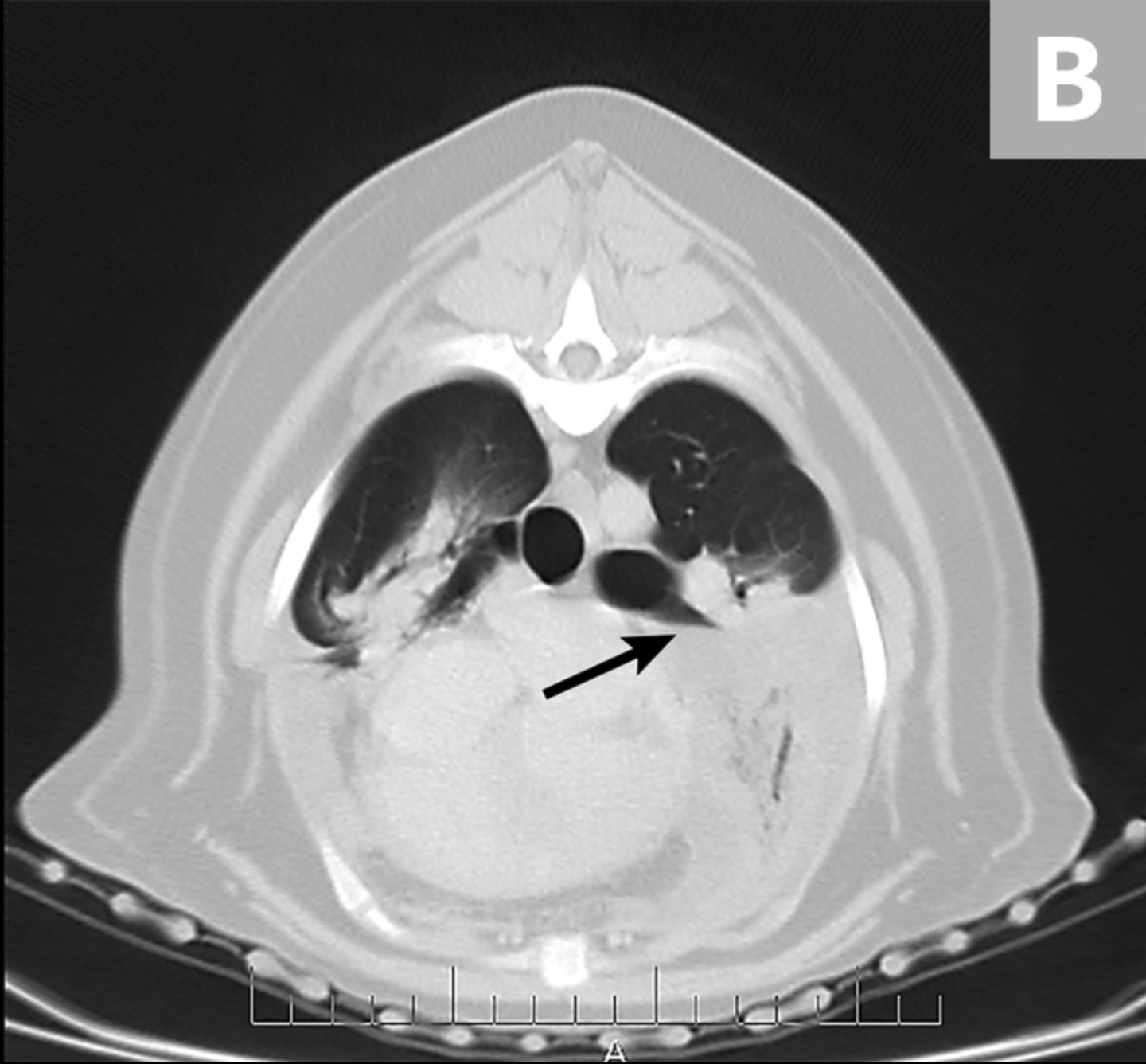
La TC mostró derrame pleural moderado bilateral con una apariencia anormal del lóbulo craneal izquierdo del pulmón, colecciones de gases punteados y truncamiento del bronquio que sugirió LLT (Figura 4).
La toracotomía lateral izquierda reveló LLT en la porción caudal del lóbulo craneal izquierdo del pulmón, y se realizó una lobectomía pulmonar. Se colocaron un tubo de toracostomía de 20 Fr y un catéter pleural para la recuperación postoperatoria, el control y el control del dolor (Figura 5). Dos días después de la operación, la cantidad de derrame pleural aspirado del tubo de toracostomía aún era significativa en cantidad (72 ml / kg / día) y de color blanquecino (Figura 6). Se confirmó que el líquido era un derrame quilo basado en los resultados del examen citológico (es decir, gotas de lípidos, cantidades moderadas de linfocitos maduros y algunos macrófagos) y suero emparejado (95 mg / dL) y niveles de triglicéridos en el derrame (819 mg / dL).
Diagnóstico:
Torsión de lóbulo de pulmón
Tratamiento y manejo
Se continuó produciendo líquido en grandes cantidades durante la próxima semana, con una meseta a> 30 ml / kg / día. Las opciones de tratamiento discutidas con el propietario incluyeron manejo médico, colocación de un puerto pleural SC a largo plazo y cirugía. Se eligió la cirugía y se realizó pericardiectomía, ligadura del conducto torácico y ablación de la cisterna del quilo.
Pronóstico y resultado
A Marcus le fue bien durante el segundo procedimiento quirúrgico; el quilotórax se resolvió rápidamente y fue dado de alta después de 3 días. Su condición se informó como normal 3 años después del procedimiento.
Tratamiento de un vistazo
la toracocentesis debe realizarse cuando hay derrame pleural.
El quilotórax debe investigarse antes de la operación si se sospecha LLT antes de la intervención quirúrgica. Puede ser necesaria una cirugía adicional en el momento de la lobectomía pulmonar.
El LLT se trata mejor con la extirpación quirúrgica del lóbulo afectado.
El quilotórax idiopático debe tratarse quirúrgicamente para obtener el mejor resultado; El manejo médico tiene un éxito limitado.
Los casos de quilotórax refractario se pueden manejar con la colocación de un catéter permanente de acceso pleural permanente.
Discusión
El LLT puede ser idiopático o secundario a derrame pleural, otras enfermedades pulmonares o del espacio pleural, traumatismo o cirugía torácica1,2. Perros de raza grande y de pecho grande (especialmente perros afganos) y ciertos perros de raza pequeña (p. Ej., Pugs) Se ha informado que tienen una mayor incidencia de LLT.1-6 La lobectomía del lóbulo pulmonar afectado es el tratamiento de elección para LLT. Anteriormente, las tasas de supervivencia eran del 50% al 78% 1,2,6; sin embargo, estudios más recientes informan una tasa de supervivencia hasta el alta del 92% .4
El quilotórax puede ocurrir secundario a una patología intratorácica que causa obstrucción del conducto torácico y flujo linfático normal. Las causas comunes incluyen granuloma, trauma, anomalías congénitas del conducto torácico, hernia diafragmática, enfermedad cardíaca, cirugía torácica y neoplasia intratorácica.7,8 Aunque la causa subyacente del quilotórax debe tratarse, la causa principal (es decir, el quilotórax idiopático) es no identificado en muchos casos.7
El quilotórax es un hallazgo pre y postoperatorio frecuente con LLT1,2-5,9. Se cree que el derrame pleural aumenta el riesgo de LLT, y el quilotórax que se desarrolla después de la lobectomía pulmonar puede ser causado por un traumatismo en el conducto torácico durante la cirugía o la pleuritis. de LLT, que altera el flujo linfático1,2,9. Cuando se diagnostica LLT y hay derrame pleural, se deben analizar los triglicéridos prequirúrgicos en suero y líquido para diagnosticar el derrame quilo, ya que el quilo no siempre tiene una apariencia lechosa y la presencia de el quilotórax puede justificar procedimientos quirúrgicos adicionales en el momento de la lobectomía pulmonar.
Existen varias opciones terapéuticas para el quilotórax idiopático.10-16 Las opciones médicas incluyen alimentar con una dieta baja en grasas y triglicéridos de cadena media y administrar rutina (una bencipirona) con o sin octreótido (un análogo de somatostatina). La terapia médica por sí sola tiene una baja tasa de éxito (p. Ej., 40%). 10-12 Las opciones quirúrgicas incluyen la ligadura del conducto torácico, la pericardiectomía subtotal y la ablación del quilo cisterna. Se han informado tasas de éxito del 53% al 88% cuando estos procedimientos quirúrgicos se usan en combinación.10,13-16 También se han informado otros procedimientos quirúrgicos con tasas de éxito variables, que incluyen omentalización torácica, pleurodesis, colocación de derivaciones pleuroperitoneales o pleurovenosas, y colocación de catéteres permanentes de espacio pleural para la evacuación intermitente de fluidos10,13-16.
Claves con las que quedarse
- Debe sospecharse LLT en pacientes jóvenes con derrame pleural agudo y posible consolidación pulmonar, pero por lo demás son saludables. Ciertas razas pueden estar predispuestas a LLT.
- El LLT se diagnostica mejor con CT o cirugía. El índice de sospecha aumenta cuando se observa densidad focal de partes blandas en un lóbulo pulmonar en radiografías de rutina con o sin derrame pleural. También puede estar presente una apariencia punteada del campo pulmonar, que indica aire atrapado o bronquios truncados.
- Cuando se diagnostica LLT y hay derrame pleural, se deben comparar los triglicéridos séricos y fluidos antes de la operación para determinar la presencia de quilo.
- El quilotórax se diagnostica cuando los triglicéridos líquidos son ≥2 veces más altos que los triglicéridos séricos en un paciente en ayunas. Los hallazgos citológicos pueden ayudar a confirmar el diagnóstico.
- Si la causa subyacente del quilotórax es indeterminada o no se puede tratar, se puede intentar el tratamiento médico, pero generalmente tiene un éxito limitado. Las opciones quirúrgicas han mejorado, pero los resultados son variables.
Referencias
- Neath PJ, Brockman DJ, King LG. LLT in dogs: 22 cases (1981-1999). J Am Vet Med Assoc. 2000;217(7):1041-1044.
- Lord PF, Greiner TP, Greene RW, DeHoff WD. LLT in the dog. J Am Anim Hosp Assoc. 1973;9:473-482.
- Gicking J, Aumann M. LLT. Compend Contin Educ Vet. 2011;33(4):E4.
- Park KM, Grimes JA, Wallace ML, et al. LLT in dogs: 52 cases (2005-2017). Vet Surg. 2018;47(8):1002-1008.
- Gelzer AR, Downs MO, Newell SM, Mahaffey MB, Fletcher J, Latimer KS. Accessory LLT and chylothorax in an Afghan hound. J Am Anim Hosp Assoc. 1997;33(2):171-176.
- Murphy KA, Brisson BA. Evaluation of LLT in pugs: 7 cases (1991-2004). J Am Vet Med Assoc. 2006;228(1):86-90.
- Singh A, Brisson B, Nykamp S. Idiopathic chylothorax: pathophysiology, diagnosis, and thoracic duct imaging. Compend Contin Educ Vet. 2012;34(8):E2.
- Fossum TW, Miller MW, Rogers KS, Bonagura JD, Meurs KM. Chylothorax associated with right-sided heart failure in five cats. J Am Vet Med Assoc. 1994;204(1):84-89.
- Johnston GR, Feeney DA, O’Brien TD, et al. Recurring LLT in three afghan hounds. J Am Vet Med Assoc. 1984;184(7):842-845.
- Singh A, Brisson B, Nykamp S. Idiopathic chylothorax in dogs and cats: nonsurgical and surgical management. Compend Contin Educ Vet. 2012;34(8):E3.
- Sicard GK, Hardie RJ, Hayashi K, DaCosta Gomez T, Bjorling DE, McAnulty JF. The use of somatostatin analogue (octreotide) for the treatment of idiopathic chylothorax in dogs and cats. Vet Surg. 2003;32(5):496.
- Thompson MS, Cohn LA, Jordon RC. Use of rutin for medical management of idiopathic chylothorax in four cats. J Am Vet Med Assoc. 1999;215(3):345-348.
- da Silva CA, Monnet E. Long-term outcome of dogs treated surgically for idiopathic chylothorax: 11 cases (1995-2009). J Am Vet Med Assoc. 2011;239(1):107-113.
- Staiger BA, Stanley BJ, McAnulty JF. Single paracostal approach to the thoracic duct and cisterna chyli: experimental study and case series. Vet Surg. 2011;40(7):786-794.
- Hayashi K, Sicard G, Gellasch K, Frank JD, Hardie RJ, McAnulty JF. Cisterna chyli ablation with thoracic duct ligation for chylothorax: results in eight dogs. Vet Surg. 2005;34(5):519-523.
- McAnulty JF. Prospective comparison of cistern chyli ablation to pericardectomy for treatment of spontaneously occurring idiopathic chylothorax in the dog. Vet Surg. 2011;40(8):926-934.
- d’Anjou MA, Tidwell AS, Hecht S. Radiographic diagnosis of lung lobe torsion. Vet Radiol Ultrasound. 2005;46(6):478-484.
Autores
BVMLakeshore Veterinary Specialists, Glendale, Wisconsin
DVM, DACVECCLakeshore Veterinary Specialists, Glendale, Wisconsin









