Información semanal de las noticias mas destacadas del sector agropecuario
Si no ve correctamente este mensaje descargue las imágenes o, pulse aquí
Número 380 4ª semana de Junio 2024 - Año V
Jornadas Top Gan

El punto de encuentro técnico, económico y de gestión del sector


Opinión
Antonio Palomo
Antonio Palomo
Opinión Antonio Palomo: YELLOW WEEK

En una dieta equilibrada, la grasa debe suponer un 25% de la energía ingerida, estimando que un adulto debemos deglutir unos 70 gramos de grasa al día, de las cuales sobre el 70% deben ser insaturadas, que es la proporción precisa que tiene el jamón curado. Las grasas son necesarias para absorber las vitaminas liposolubles (A – D – E – K), sabiendo como hoy las deficiencias de vitamina D han aumentado considerablemente dentro de la población. Dichas grasas también forman parte del recubrimiento del sistema nervioso y de las membranas celulares. Quizás comienzo un poquito más de jamón la salud física y cerebral – mental mejoraría un poco. Esto lo pude comprobar la semana pasada... >>>


Sepor Lorca

Sanidad
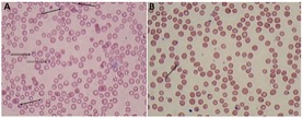
Detección microscópica y molecular de piroplasmas en ovejas

Introducción: Los parásitos de la sangre representan una amenaza significativa para la producción ganadera en el sur de Egipto, sin embargo, hay escasez de información sobre su circulación y epidemiología en las ovejas en esta región. El objetivo de este estudio fue investigar la seroprevalencia de las infecciones por parásitos de la sangre en ovejas de la gobernación de Assiut, Alto Egipto. >>>

 
Análisis transcriptómico y metabolómico exhaustivo de las células epiteliales intestinales porcinas después de la infección por PDCoV

Introducción: El deltacoronavirus porcino (PDCoV), un coronavirus enteropatógeno porcino emergente con distribución mundial, infecta principalmente a los lechones recién nacidos con diarrea severa, vómitos, deshidratación e incluso la muerte, causando enormes pérdidas económicas a la industria porcina. Sin embargo, los mecanismos patogénicos subyacentes de la infección por PDCoV y los efectos de la infección por PDCoV en los transcritos y metabolitos del huésped siguen sin comprenderse completamente.  >>>


LaserVet

  Noticias
Foro Agro Ganadero

La Xunta pondrá en marcha una planta piloto de gestión de purín en el centro de investigaciones agrarias de Mabegondo

Foro Agro Ganadero

La Xunta concede casi 12 millones a más de 4.500 productores amparados por la IXP Ternera Gallega

Foro Agro Ganadero

La Junta abona 9,8 millones de euros en un nuevo pago de las ayudas a la PAC en la provincia de Albacete

Foro Agro Ganadero

Agricultura destina 500.000 euros al fomento de la innovación tecnológica en fincas o explotaciones colaboradoras

Foro Agro Ganadero

El Gobierno aprueba el Real Decreto que flexibiliza las condiciones para el acceso a las ayudas de la PAC

Foro Agro Ganadero

Luis Planas celebra el acuerdo alcanzado entre el ministerio y las comunidades autónomas para modificar el plan de control de la tuberculosis bovina

Foro Agro Ganadero

Planas dice que «ni un euro» de la PAC va a financiar la Ley de Restauración de la Naturaleza

Foro Agro Ganadero

Diputación de Salamanca publica las bases para la exposición de ganado ‘Salamaq24’, del 5 al 9 de septiembre

Foro Agro Ganadero

La patronal del sector cárnico pide al Gobierno que negocie con China ante las investigaciones ‘antidumping’

Foro Agro Ganadero

Publicada la norma para adecuar las ganaderías a la Ley de Calidad Ambiental con una declaración responsable

Foro Agro Ganadero

UAGA cree que las ayudas no son suficientes para compensar las pérdidas por la sequía de agricultores y ganaderos

Foro Agro Ganadero

Agricultura recibe 63.018 solicitudes únicas de ayudas de la PAC, un 3,9% menos que en 2023

Foro Agro Ganadero

Agricultura destina 319.615 euros ampliables para las ayudas para el control de rendimiento lechero

Foro Agro Ganadero

El Gobierno de Asturias abona a agricultores y ganaderos otros 8 millones de las ayudas de la PAC 2023

Foro Agro Ganadero

La Xunta destina más de 4 millones en ayudas para la adquisición de maquinaria agrícola en común

Foro Agro Ganadero

C-LM ha pagado ya a agricultores y ganaderos 635 millones del primer pilar de la PAC, 11 millones más que el pasado año

Foro Agro Ganadero

El Gobierno eleva a 264 millones el pago de las ayudas a tierras de cultivo de secano, arroz y tomate

Foro Agro Ganadero

Asaja Toledo hace balance de 2023 y dice que no fue bueno para la agricultura por la falta de lluvia y la sequía

Foro Agro Ganadero

Arranca el Congreso de Frutos Rojos con la defensa al campo y al valor de la agricultura como motores sociales

Foro Agro Ganadero

Resultados positivos en la segunda mesa de diálogo para la Coexistencia entre Lobos y Ganadería extensiva Logroño

Foro Agro Ganadero

El Principado demanda en Bruselas que la PAC tenga en cuenta la ganadería extensiva

Foro Agro Ganadero

Un total de 110 reses de 17 ganaderías competirán en el concurso de frisón de Renedo, el doble que el año pasado

Foro Agro Ganadero

Archivan la causa contra 143 investigados en Murcia, C-LM y Alicante por fraude en las ayudas de la PAC

Foro Agro Ganadero

C-LM destina 2,5 millones de euros a acciones de formación directa e indirecta destinadas a agricultores y ganaderos

Foro Agro Ganadero

Begoña García: "Es imprescindible la presencia de las mujeres en la toma de decisiones en el sector agro español para poder avanzar en igualdad"

Foro Agro Ganadero

La cita referente del sector ganadero, industrial y agroalimentario a nivel nacional se celebrará en el recinto ferial IFELOR

Foro Agro Ganadero

La XVI Feria de Ganado de Almáchar reunirá este fin de semana a más de doscientos equinos

Foro Agro Ganadero

El aceite de oliva impulsa el agro andaluz con ventas récord de más de 6.200 millones de enero a marzo de 2024

Foro Agro Ganadero

Aumentan más de un 56% las ayudas regionales a jóvenes agricultores y ganaderos para «garantizar el relevo generacional»

Foro Agro Ganadero

El cartel "El futuro está en nuestras manos", ganador del concurso de dibujo "Somos ganaderos" de la 57 edición de SEPOR

Foro Agro Ganadero

C-LM reivindica al ajo como un cultivo que mantiene población en el medio rural y es ejemplo en uso eficiente de agua

Foro Agro Ganadero

Elecciones en la RACVE-nuevos miembros de la Real Academia de Ciencias Veterinarias de Españas

Foro Agro Ganadero

El CVCV apoya la acción €śprofesional€ť de los veterinarios oficiales y habilitados para preservar la sanidad animal y la salud pública en los bous al carrer

Foro Agro Ganadero

Planas, sobre la investigación de China a carne de cerdo: «Lo mejor que puede pasar es que no haya aranceles»

Foro Agro Ganadero

La feria ganadera Villa de Ampuero reunirá este sábado a más de 1.200 animales en La Nogalera

Foro Agro Ganadero

Investigadores del CITA presentan sus proyectos en unas jornadas sobre fruticultura en Tenerife

Foro Agro Ganadero

La conselleira do Medio Rural reivindica la conservación y promoción de la Raza Rubia Galega

Foro Agro Ganadero

Galicia cuenta ya con más de 600.000 animales vacunados frente a la lengua azul

Foro Agro Ganadero

Agricultura organiza en València una jornada sobre agroexportación con compradores europeos

Foro Agro Ganadero

El Ifapa instala un sistema de telegestión de cultivos para aplicar la IA en la optimización de riego y fertilización

Foro Agro Ganadero

El concurso de vacuno frisón de San Antonio en Renedo duplica los ejemplares del año pasado, con 110

Foro Agro Ganadero

El concurso de vacuno frisón de San Antonio en Renedo duplica los ejemplares del año pasado, con 110

Foro Agro Ganadero

Técnicos y ganaderos abordarán la imagen del sector el jueves en el II Congreso Internacional de Vacuno en Salamanca

Foro Agro Ganadero

Detenidas dos personas por sustraer diez toneladas de naranjas en Onda

Foro Agro Ganadero

El Ministerio inicia la audiencia pública del proyecto de real decreto que simplifica y flexibiliza la aplicación de la Política Agraria Común

Foro Agro Ganadero

AFOEX valora positivamente los datos del último informe del consumo alimentario en España





Ver boletines anteriores

Enlaces de interés:


Axon en Facebook Axon en twitter Axon en instagram

ADVERTENCIA LEGAL: La información contenida en este mensaje de correo electrónico es confidencial. Los datos contenidos en el mismo son de interés y uso exclusivo de su destinatario, por tratarse de información confidencial, privilegiada y reservada. Si ha recibido esta comunicación por error, agradecemos su colaboración y solicitamos que la elimine definitivamente. Si ud. no es la persona a la que va dirigido, le informamos que cualquier divulgación, copia, distribución de la información queda prohibida y puede ser ilegal.

Le recordamos que sus datos han sido incorporados en el sistema de tratamiento de SINAPSIS POSITIVA, S.L., con CIF B86907474, con la finalidad de remitirle la información que usted ha solicitado recibir, y que podrá ejercer sus derechos de acceso, rectificación, limitación de tratamiento, supresión, portabilidad y oposición/ revocación, en los términos que establece la normativa vigente en materia de protección de datos, dirigiendo su petición a la dirección postal: Calle Fuerteventura 15, Bajo B. 28703 San Sebastián de los Reyes (Madrid) , o bien a través del correo electrónico: axoncomunicacion@axoncomunicacion.net

De conformidad con la Ley 34/2002, de 11 de julio, de Servicios de la Sociedad de la Información, si no desea seguir recibiendo información o ha recibido este mensaje por error, rogamos remita un correo a baja@axoncomunicacion.net y daremos de baja su dirección de correo electrónico/ puede responder a este correo electrónico indicando “Baja” en el Asunto.


Sinapsis

Calle Fuerteventura 15, Bajo B.
28703 San Sebastián de los Reyes (Madrid)

Teléfono: 678498310
axoncomunicacion@axoncomunicacion.net
https://axoncomunicacion.net
 

Si te quieres dar de baja pulsa este enlace.