Hemotórax en un perro con enfermedad de Von Willebrand y SRMA
Hemotórax en un perro con enfermedad de Von Willebrand y SRMA
Solana Villoria, Miriam1. Espadas Santiuste, Irene1, Salgüero Fernández, Raquel1,
Alcocer del Peral, Beatriz1.
1Hospital de Referencia Veterios. C/ de Arrastaria, nº23. 28022 Madrid. 912909458. info@veterios.com
Introducción
La enfermedad de von Willebrand es el trastorno hemostático primario más común en perros1, causado por una disminución del factor de von Willebrand
(vWF), esencial para la coagulación ya que circula unido al factor VIII de la cascada incrementando su vida media y estimulando su producción2.
La meningitis-arteritis que responde a esteroides (SRMA) es una afección inflamatoria inmunomediada que afecta principalmente a perros jóvenes3.
Sus signos clínicos incluyen fiebre y dolor cervical; el diagnóstico se realiza mediante análisis clínicos, estudio del líquido cefalorraquídeo (LCR), pruebas de imagen, así como una respuesta favorable al tratamiento con glucocorticoides.
Descripción del caso clínico
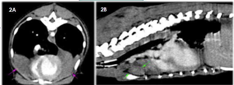
Se describe el caso de un cachorro mestizo, enterode 8 meses que acudió a consulta de urgencias por un cuadro de fiebre y dolor cervical de 7 días de evolución, progresando a disnea marcada secundaria a un hemotórax espontáneo.
Descargar aquí
Hemotórax en un perro con enfermedad de Von Willebrand y SRMA
Date de alta y recibe nuestro 👉🏼 Diario Digital AXÓN INFORMAVET ONE HEALTH
Date de alta y recibe nuestro 👉🏼 Boletín Digital de Foro Agro Ganadero
Noticias animales de compañía
Noticias animales de producción
Trabajos técnicos animales de producción
Trabajos técnicos animales de compañía

