Se publica uno de los primeros casos descritos de una perra con doble vejiga urinaria y una sola uretra
Se publica uno de los primeros casos descritos de una perra con doble vejiga urinaria y una sola uretra
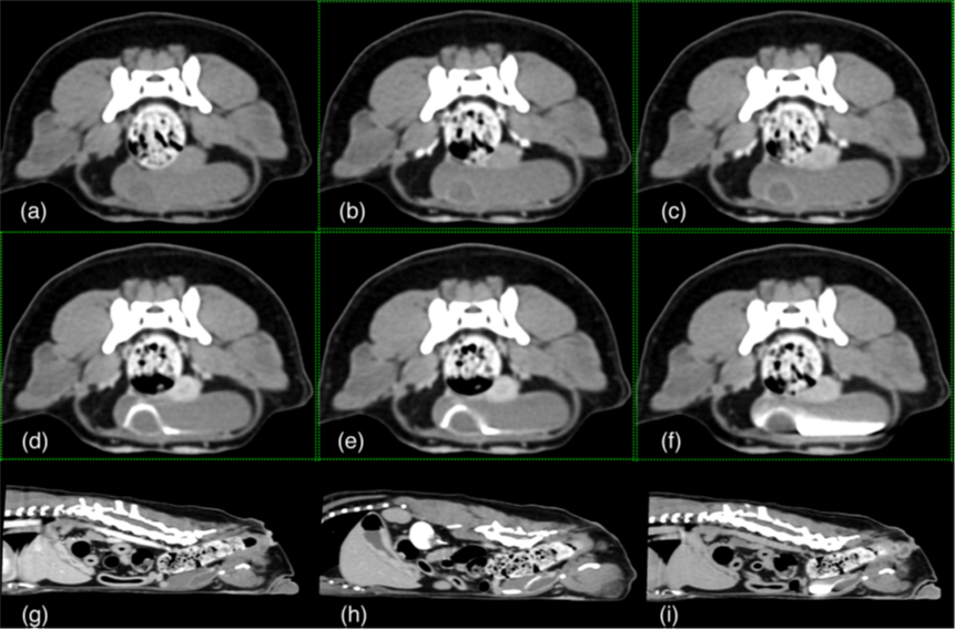
La duplicación de la vejiga es una malformación congénita muy rara que puede aparecer en personas, perros y gatos. Como signos clínicos, son habituales las infecciones de orina. A pesar de que es una malformación congénita, se suele diagnosticar a edades adultas, como es el caso atendido en AniCuraArs Veterinaria Hospital Veterinari y publicado en la revista Vet Record: una Yorkshire terrier hembra de 8 años a la que se realizó una cirugía que implicó la resección completa de una de las vejigas urinarias con resolución de los signos clínicos.
Tras una exhaustiva evaluación llevada a cabo mediante la combinación de Tomografía Computarizada con contraste, cistoscopia, radiografías y ecografía, se detectó que tenía una duplicación de vejiga en el plano coronal y una sola uretra, que además iba acompañada de una infección urinaria.
“La mayoría de los casos existentes acerca de la duplicación completa de la vejiga en el plano coronal también hablan de una duplicidad en la uretra. En este caso, sin embargo, la paciente solo tenía una uretra, conectada a la vejiga principal”, explica el equipo de Medicina Interna, Diagnóstico por Imagen y Cirugía de AniCura Ars que ha llevado a cabo tanto el diagnóstico como la extirpación quirúrgica de la vejiga duplicada.
Si la vejiga accesoria no cuenta con un uréter, retiene orina y no permite el acceso de los antibióticos, por lo que se crea un entorno ideal para el crecimiento bacteriano y la infección urinaria recurrente. “Cuando llegó a nuestro hospital, la paciente llevaba un año con infecciones de orina recurrentes, con recaída al terminar los antibióticos y con episodios intermitentes de disuria, polaquiuria y hematuria. Sin embargo, la exploración física era normal”, comenta el equipo que ha llevado con éxito el caso, formado por Jordi Puig, Luis Feo, Núria Vizcaíno, Elísabet Domínguez y Diana Gomes.
Para tratar esta anomalía y controlar las infecciones urinarias, los profesionales del AniCura Ars Veterinaria Hospital Veterinari decidieron intervenir a la paciente para extirparle quirúrgicamente la vejiga duplicada. Un año después de la cirugía, la paciente se ha recuperado por completo.
Date de alta y recibe nuestro 👉🏼 Diario Digital AXÓN INFORMAVET ONE HEALTH
Date de alta y recibe nuestro 👉🏼 Boletín Digital de Foro Agro Ganadero
Noticias animales de compañía
Noticias animales de producción
Trabajos técnicos animales de producción
Trabajos técnicos animales de compañía
