Serie de casos: Extrusiones de disco intervertebral cervical lejano y cervical extremo lateral/foraminal combinadas en 10 perros
Laurent Garosi7
Alba Farre Marine8- 1IVC Evidensia Small Animal Referral Hospital Arnhem, Arnhem, Países Bajos
- número arábigoIVC Evidensia Small Animal Referral Hospital Hart van Brabant, Waalwijk, Países Bajos
- 3Hospital Veterinario Dovecote, Castle Donington, Reino Unido
- 4ChesterGates Veterinary Specialists, Chester, Reino Unido
- 5Departamento de Ciencias Clínicas, Universidad Estatal de Carolina del Norte, Raleigh, Carolina del Norte, Estados Unidos
- 6AniCura Ars Veterinària Hospital Veterinari, Barcelona, España
- 7Veterinario Oracle Teleradiology, Norfolk, Reino Unido
- 8Aúna Especialidades Veterinarias IVC Evidensia, Paterna, España
Las extrusiones de disco intervertebral lateral lejano (IVDE) se han reportado con poca frecuencia en perros en la literatura veterinaria, afectando principalmente a los discos intervertebrales lumbares caudales. Describimos los hallazgos clínicos, los hallazgos de la tomografía computarizada (TC) y la resonancia magnética (RM), el tratamiento y el resultado en 10 perros con IVDE cervicales laterales lejanos. Se realizaron búsquedas retrospectivas en las bases de datos de pacientes de 3 hospitales de pequeños animales y 1 servicio de telerradiología veterinaria en busca de pacientes en los que los estudios de imagen (TC o RM) identificaron la presencia de material del disco intervertebral fuera de los límites del agujero intervertebral. Los signos clínicos que presentaron incluyeron: signos episódicos de dolor cervical (6/10, 30%), signos persistentes de dolor cervical (3/10, 50%), firma o cojera de la raíz nerviosa (5/10, 50%) y postura cervical anormal solo (excluyendo la firma de la raíz nerviosa) (1/10, 10%). Los espacios IVD afectados (para 11 IVDE en 10 perros) incluyeron: C3-4 (6/11, 55%), C5-6 (3/11, 27%) y C2-3 (2/11, 18%). No se informó de la firma de la raíz nerviosa para los IVDE C2-3. Todos los casos se trataron médicamente (sin cirugía). Los 3 medicamentos más utilizados fueron los gabapentinoides (10/10, 100%), los antiinflamatorios no esteroideos (AINE) (10/10, 100%) y el paracetamol (3/10, 30%). La mediana de duración del tratamiento fue de 25 días (intervalo 10–84). Se registró un resultado a corto plazo (<3 meses) en 9/10 (90%) casos. La resolución de los signos clínicos se reportó en 7/9 (78%) casos. Se dispuso de seguimiento a largo plazo para 6/10 (60%) casos (mediana de 11,5 meses, intervalo de 5,5 a 30 meses); 5/6 (83%) mostraron resolución de los signos clínicos. Se notificó recurrencia de signos clínicos en 1 caso (9 meses después), tratados médicamente de nuevo, con desenlace exitoso. En conclusión, las extrusiones de disco cervical lateral son una entidad clínica poco frecuente en los perros, pero pueden provocar dolor intenso, persistente o episódico. El tratamiento médico se asocia con un resultado positivo a corto y largo plazo en la mayoría de los casos.
Introducción
La enfermedad del disco intervertebral es el trastorno de la columna vertebral más común diagnosticado en perros (1-5). Un esquema de clasificación recientemente publicado describe múltiples variantes de hernia de disco intervertebral canino: protrusión de disco intervertebral (IVDP), extrusión de disco intervertebral (IVDE), IVDE con hemorragia epidural extensa (DEEH), IVDE traumática, IVDE intradural/intramedular, extrusión aguda no compresiva del núcleo pulposo (ANNPE) y extrusión del núcleo pulposo hidratado (HNPE) (2). Este esquema se puede complementar con IVDE intradural/extramedular e IVDE lateral. Este último puede subdividirse como IVDE lateral dentro del canal espinal (es decir, lateralizado o paramediano dorsal), IVDE foraminal e IVDE lateral lejano (Figura 1) (6-11). Además, una sola hernia puede estar mejor representada por una combinación de dos tipos (p. ej., foraminal y IVDE lateral lejana) y un solo paciente puede tener múltiples hernias del mismo tipo o de diferentes tipos (7).

Se ha informado de la presencia de IVDE en foraminas cervicales en perros, definidas como «la presencia de material del disco intervertebral dentro del espacio foraminal en la columna cervicotorácica no asociado con la compresión de la médula espinal» (12). En términos generales, el agujero neurovascular puede definirse como la abertura entre las vértebras adyacentes a través de la cual el nervio espinal (raíces) y los vasos salen del canal espinal. A menudo, las raíces nerviosas espinales se unen para formar el nervio espinal, ya sea justo dentro del canal espinal o en el agujero mismo. No se ha encontrado en la literatura una descripción anatómica específica de los forámenes intervertebrales neurovasculares en la región cervical de los perros. Los autores han mencionado que los forámenes tienen una zona de «entrada» y «salida» (12). No se incluye una parte intermedia como para los forámenes lumbosacros, probablemente debido a las dimensiones comparativamente pequeñas (13). En la literatura veterinaria se han descrito casos de IVDE en perros con poca frecuencia (7-11). La IVDE lateral lejana se define como «la presencia de material del disco intervertebral fuera de los límites del foramen» (7). En todos los casos reportados, las extrusiones se localizaron en el área toracolumbar, afectando principalmente a los discos intervertebrales lumbares caudales.
Solo hay un informe de 1983 que documenta los hallazgos clínicos y radiográficos, así como el tratamiento quirúrgico y los resultados en 2 perros con IVDE cervicales lejanos (y 5 perros con IVDE cervicales foraminales) (14). En este estudio retrospectivo, describimos la presentación clínica, los hallazgos de la tomografía computarizada (TC) y la resonancia magnética (RM), el tratamiento y los resultados en 10 perros con IVDE cervicales en el extremo lateral y en el extremo lateral/foraminal.
Materiales y métodos
Se realizaron búsquedas retrospectivas en las bases de datos de pacientes de 3 hospitales de pequeños animales y 1 servicio de telerradiología veterinaria en los que los estudios de imagen (TC o RM) identificaron la presencia de material del disco intervertebral (sospechado) fuera de los límites del foramen o tanto fuera como dentro de los límites del foramen (7). Los estudios de TC se reconstruyeron en un algoritmo de huesos y tejidos blandos y se mostraron en un ancho y nivel de ventana de huesos y tejidos blandos, y todos incluyeron mielogramas. Los estudios de resonancia magnética incluyeron al menos las siguientes secuencias: sagital ponderada en T2 (T2W) y transversal en T2W. Cuando estuvieron disponibles, se incluyeron la recuperación de inversión de tau corta (STIR) dorsal, el eco de gradiente T2* transversal, el postcontraste T1W y el postcontraste de saturación de grasa T1 (Fatsat). Los criterios de exclusión fueron la identificación de lesión extradural lateralizada dentro del canal vertebral solamente o patología cervical concurrente no relacionada con IVD que pudo haber contribuido a los signos clínicos.
Se evaluaron las siguientes características de imagen:
1. Presencia o ausencia de degeneración y/o mineralización del disco intervertebral, y anchura del espacio del disco intervertebral;
2. Localización de la lesión extradural;
3. Extensión de la lesión extradural (dentro del foramen intervertebral y/o fuera del foramen intervertebral a lo largo del cuerpo vertebral, ventral al cuerpo vertebral);
4. Patrón de intensidad de la señal en resonancia magnética o tomografía computarizada. Esto incluyó: (a) homogéneo/heterogéneo, (b) intensidad de la señal en todas las secuencias de RM en comparación con la médula espinal (isointensa, hipointensa, hiperintensa), (c) atenuación en la TC en comparación con los tejidos blandos (isoatenuante, hipoatenuante, hiperatenuante). Se anotaron las Unidades de Hounsfield (HU) de las lesiones hiperatenuantes para evaluar si las lesiones hiperatenuantes estaban o no mineralizadas (mineralización >500HU);
5. Visualización de la arteria vertebral y/o nervio espinal a nivel de la lesión extradural;
6. Tamaño e intensidad de la señal o atenuación del nervio espinal a nivel de la lesión extradural;
7. Intensidad o atenuación de la señal de los tejidos perineurales y músculos epaxiales a nivel de la lesión extradural.
Las imágenes de TC y RM fueron revisadas por diplomáticos de ECVDI y/o ECVN en la presentación inicial, y revisadas retrospectivamente por un diplomado de ECVDI. No se requirió confirmación quirúrgica o histológica de la naturaleza del material (por lo tanto, se «sospechó»). Los factores de señalización del paciente (raza, sexo y estado de castración, edad, peso corporal), la historia clínica (duración y signos clínicos de presentación), los hallazgos del examen clínico y neurológico, el tratamiento y el resultado (a corto plazo (< 3 meses) y, cuando estaban disponibles, a largo plazo (>3 meses)) se registraron a partir de las historias clínicas del paciente (es decir, la evaluación clínica veterinaria por el clínico de referencia o el veterinario de referencia) y/o la consulta telefónica en el momento de redactar este informe. Los perros se consideraban de raza grande cuando el peso corporal era de >25 kg, medianos cuando el peso era de 10 a 25 kg y pequeños cuando <10 kg. Se reportan estadísticas descriptivas.
Resultados
Diez (10) casos cumplieron con los criterios de inclusión (Tabla 1). Seis (6) eran machos (3 castrados, 3 enteros) y 4 eran hembras (2 castrados, 2 enteros). Las razas incluían 2 perros de raza grande, 4 perros de raza mediana y 4 perros de raza pequeña. En concreto, se incluyeron las siguientes razas: 2 perros salchicha, 2 cruces (fenotipo condrodistrófico), 1 cocker spaniel inglés, 1 bulldog francés, 1 kelpie australiano, 1 beagle, 1 dálmata y 1 pitbull terrier. La mediana de edad fue de 7 años y 6 meses (rango de 4 años y 2 meses a 9 años y 8 meses). La mediana del peso fue de 14,3 kg (rango 5,0-29,0).

Tabla 1. Detalle de los casos incluidos.
La duración de los signos clínicos antes de la presentación fue de <1 semana en 3/10 (30%) casos y de 1 a 2 semanas en 7/10 (70%) casos. La historia clínica incluyó: signos episódicos de dolor cervical (6/10, 60%), signos persistentes de dolor cervical (3/10, 30%), firma o cojera de la raíz nerviosa (5/10, 50%) y postura cervical anormal solo (excluyendo la firma de la raíz nerviosa) (1/10, 10%). Los signos clínicos y las anomalías de la exploración neurológica incluyeron: hiperestesia cervical (9/10, 90%) [se observó lateralización: 4/10, 40%, no se observó lateralización: 6/10, 60%]; firma o cojera de la raíz nerviosa (5/10, 50%); reducción del reflejo de retirada de la extremidad torácica ipsilateral (1/10, 10%); ausencia de signos clínicos en la clínica (es decir, solo signos registrados en videos) (1/10, 10%) y; fasciculaciones/sacudidas musculares en la musculatura cervical (1/10, 10%). No se informó de la firma de la raíz nerviosa para los IVDE C2-3.
En la Tabla 2 se incluye un resumen de las modalidades de diagnóstico por imagen empleadas y los hallazgos. Las IVDE cervicales laterales lejanas se diagnosticaron con resonancia magnética de alto campo en 6/10 (60%) perros (ejemplos en las figuras 2, 3), mielograma por TC en 2/10 (20%) perros (ejemplo en la figura 4) y TC y resonancia magnética de campo bajo en 2/10 (20%) perros. Un perro (1/10, 10%) tenía un IVDE lateral lejano (C2-3, izquierda) y un IVDE lateral lejano/foraminal (C3-4, izquierda). Por lo tanto, informamos las características de 11 IVDE. Se diagnosticó IVDE lateral lejano en todos los perros (10/10, 100%); 6/11 (55%) fueron IVDE foraminales/laterales lejanos. La lateralización fue hacia la izquierda en 7/11 (64%) y hacia la derecha en 4/11 (36%) IVDEs. Todas las extrusiones laterales lejanas y la combinación de extrusiones laterales/foraminales se encontraban al nivel de un espacio IVD reducido en comparación con los espacios IVD adyacentes, y IVD parcialmente mineralizado (hiperatenuante en la TC, marcadamente hipointenso en todas las secuencias en la RM). Los espacios IVD afectados fueron: C3-4 (6/11, 55%), C5-6 (3/11, 27%) y C2-3 (2/11, 18%). A partir de las imágenes de TC, todas las extrusiones foraminales y laterales lejanas eran homogéneas y mineralizadas (hiperatenuantes a la médula espinal, HU > 500). A partir de las imágenes de resonancia magnética, las lesiones extradurales eran ligeramente heterogéneas, pero predominante y marcadamente hipointensas en todas las secuencias, compatibles con mineralización. Al comparar entre las secuencias de resonancia magnética, el material extradural fue T2W y T1W isointenso al hueso cortical, y esto resultó en una disminución de la visibilidad en las imágenes T2W en comparación con las imágenes T1W y T2*W (Figuras 1, 2). En todos los casos, la lesión extradural causó efecto de masa y la consiguiente falta de visualización de la arteria vertebral y el nervio espinal a lo largo de la longitud donde se localizó el material extradural. A partir de las imágenes de resonancia magnética, las secuencias de supresión de grasa (la mayoría de ellas STIR dorsal) revelaron una hiperintensidad leve y mal definida de los músculos epaxiales y los tejidos perineurales alrededor del material extruido. La lateralización de los signos clínicos coincidió con la lateralización de la IVDE lateral lejana (en las imágenes) en todos los casos en los que se observó lateralización.



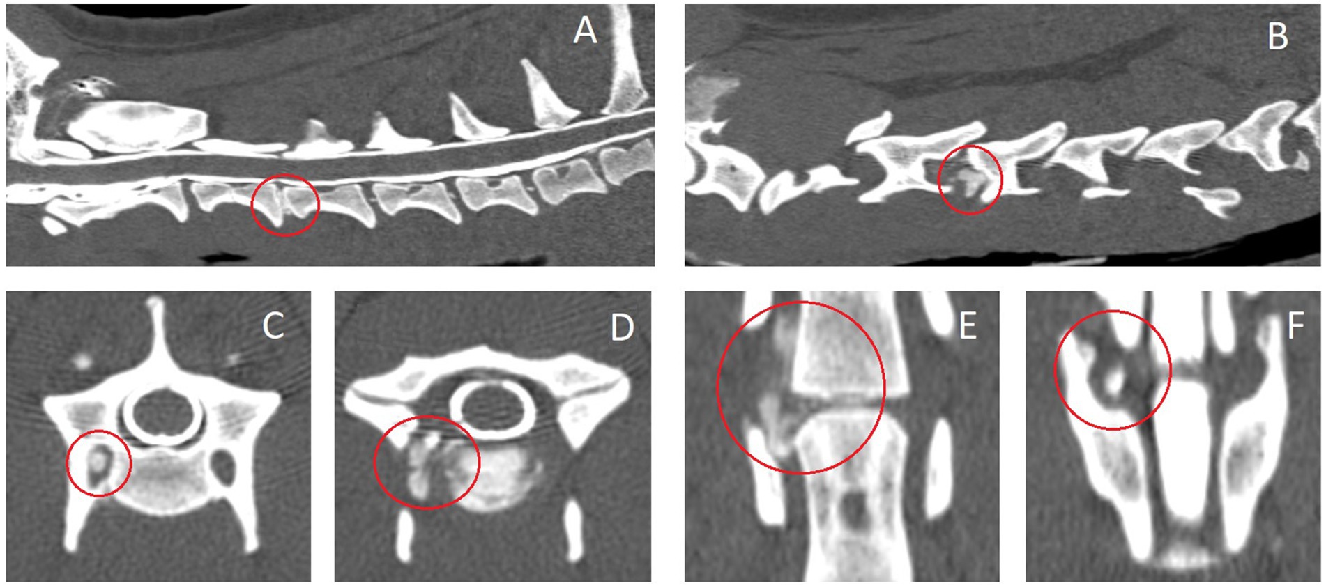
Figura 4. Imágenes tomográficas computarizadas (con medio de contraste intratecal – mielograma) del caso #2 con una extrusión de disco intervertebral C3-4 lateral derecho y foraminal. A: reconstrucción del plano medio sagital, B: reconstrucción parasagital derecha a nivel del pedículo derecho de C4, C: plano transversal a nivel de la cara craneal de C4, D: plano transversal a nivel del disco intervertebral C3-4, E: reconstrucción del plano dorsal a nivel del foramen transverso de la vértebra C4, F: Reconstrucción del plano dorsal a nivel del foramen intervertebral. El disco intervertebral afectado y el material del disco extruido hiperatenuante están rodeados con un círculo rojo.
Todos los casos (10/10, 100%) se trataron sin cirugía y recibieron medicamentos analgésicos como tratamiento médico primario (los detalles, incluidas las dosis, se enumeran en la Tabla 1). En todos los casos se empleó tratamiento analgésico multimodal (10/10, 100%). Los medicamentos utilizados fueron: gabapentinoides (10/10, 100%, gabapentina 7/10 (70%) y pregabalina 3/10 (30%)), antiinflamatorios no esteroideos (AINEs (meloxicam o carprofeno)) (10/10, 100%), paracetamol (3/10, 30%), metocarbamol (2/10, 20%), tramadol (2/10, 20%), amitriptilina (1/10, 10%) y ketamina (1/10, 10%). La duración del tratamiento varió, con una mediana de duración de 25 días (rango 10-84) para cualquiera de los medicamentos incluidos para un caso particular. Los detalles reales del tratamiento por caso en la Tabla 1 reflejan la variabilidad en la duración de los medicamentos individuales y las diferencias en la disminución y la no disminución de diferentes medicamentos en diferentes pacientes.
Se recomendó reposo en jaula en 3/10 (30%) casos (tiempo no especificado o 4 semanas). Se registró un resultado a corto plazo (<3 meses) en 9/10 (90%) casos. La resolución de los signos clínicos se reportó en 7/9 (78%) casos. Un solo caso (caso #2) no respondió al tratamiento iniciado (carprofeno (2 mg/kg cada 12 h durante 10 días), pregabalina (4,2 mg/kg cada 12 h durante 20 días), tramadol (1 mg/kg cada 12 h durante 15 días), paracetamol (9,6 mg/kg cada 12 h durante 15 días)). Otro solo caso (caso #9) mostró cojera persistente como el único signo clínico restante. Se dispuso de seguimiento a largo plazo para 6/10 (60%) casos (mediana de 11,5 meses, intervalo de 5,5 a 30 meses); 5/6 (83%) mostraron resolución de los signos clínicos. La recurrencia de los signos clínicos después de la resolución completa se informó en 1 caso, 9 meses después del diagnóstico (caso # 8). Este caso se manejó médicamente nuevamente, sin diagnóstico por imagen, con un resultado exitoso.
Incluimos los detalles de 2 casos particulares que ejemplifican algunas de las notables quejas de presentación e historias que se registraron.
Ejemplo de caso: caso #7
A una hembra de 7 años de edad, un perro salchicha de 5 kg, se le presentó una historia de 2 semanas de ataques de postura cervical y vocalización anormales, que estaban disminuyendo en frecuencia, pero aún ocurrían varias veces al día (3-6 veces, 10-60 s cada una). Los videos proporcionados por el propietario mostraron fasciculaciones de los músculos cervicales y pseudodistonía cervical con ventroflexión e inclinación/giro de la cabeza (tortícolis) (Video complementario S1). No se escuchó ninguna vocalización en los videos ni fue reportada por los propietarios. El examen clínico general no presentaba presentaciones. El examen neurológico no fue notable y, en particular, no se observaron signos de hiperestesia cervical a la palpación. El perro fue capaz de sacudir la cabeza con vigor después de infundir una gota de agua en el canal auditivo externo (prueba de gota en el oído). Esta prueba es utilizada frecuentemente por uno de los autores (KS) para evaluar la capacidad de realizar un movimiento normal y vigoroso de sacudida de la cabeza. La vacilación, el rendimiento incompleto o la aparición de signos de dolor (vocalización) cuando el perro (intenta) exhibir este comportamiento se interpreta como anormal. La resonancia magnética de alto campo reveló una IVDE lateral y foraminal C3-4 del lado izquierdo (Figura 2). El tratamiento se inició con meloxicam (0,1 mg/kg cada 24 h durante 2 semanas) y gabapentina (10 mg/kg cada 8 h durante 2 semanas, seguido de cada 12 h durante 1 semana y luego discontinuizado). Se informó de un ataque recurrente en los primeros 2 días de tratamiento, posteriormente no se observó recurrencia. El seguimiento total fue de 10 meses sin recidiva de los signos.
Ejemplo de caso: caso #8
Una perra de 8 años castrada de 9 kg de raza (con un fenotipo condrodistrófico) se presentó con una historia de 2 semanas de hiperestesia cervical episódica recurrente de inicio agudo, vocalización («ataques de dolor» o episodios de aullidos) y cojera de las extremidades torácicas derechas / firma de la raíz nerviosa. Sobre la base de la sospecha de convulsiones epilépticas, el veterinario de referencia había prescrito al perro fenobarbital 2 mg/kg cada 12 h sin resolución de los signos clínicos. El propietario había hecho algunos videos de los ataques y el período posterior a un ataque en su casa (Videos complementarios S2 y S3). Estos mostraron a un perro subjetivamente consciente, con una postura cautelosa, firma de raíz nerviosa y vocalización aguda (aullidos) de 30 s a 2 min de duración. Después del episodio, el perro estaría subjetivamente letárgico, exhibía una firma de raíz nerviosa de la extremidad torácica derecha y frecuentemente se lamía la nariz. Esto fue interpretado como signos post-ictales por el veterinario de referencia. El examen clínico general no presentaba presentaciones. El examen neurológico mostró hiperestesia cervical, principalmente cuando el cuello estaba flexionado hacia la izquierda y se realizó una palpación profunda sobre la zona cervical media derecha, dorsal a la tráquea y ventral a la musculatura extensora del cuello. Después de la palpación profunda, las fasciculaciones eran palpables superficialmente en la musculatura cervical lateral derecha. El perro dudó en sacudir la cabeza y solo la movió ligeramente en la prueba de la oreja. Hubo ataxia propioceptiva general leve de las extremidades pélvicas atribuida al uso de fenobarbital. Por lo demás, el examen neurológico estaba dentro de los límites normales. La resonancia magnética de alto campo reveló una IVDE lateral derecha C3-4 (Figura 3). Se inició tratamiento médico con carprofeno (2 mg/kg cada 12 h durante 2 semanas) y gabapentina (11 mg/kg cada 8 h durante 12 semanas). Se añadió amitriptilina (1,1 mg/kg cada 12 h) debido a episodios recurrentes de dolor después de una semana. Este tratamiento fue eficaz y se redujo lentamente durante los siguientes 2 meses (primero carprofeno, luego gabapentina, luego amitriptilina). Se observó una recurrencia de los signos de dolor a los 9 meses de la primera presentación (en remisión durante los 7 meses anteriores) y se trató con meloxicam y gabapentina solo durante 2 y 4 semanas, respectivamente. En ese momento no se realizaron más pruebas diagnósticas. No se informaron signos de dolor a partir de entonces, con un seguimiento a largo plazo de 18 meses después de la primera presentación.
Discusión
En este estudio multicéntrico retrospectivo, reportamos las características clínicas, el diagnóstico, el tratamiento y el resultado de la IVDE cervical lejana y cervical lejana/foraminal combinada en 10 perros. Una publicación previa, en la que el diagnóstico se basó en radiografía, mielografía y hallazgos quirúrgicos, describe 7 perros que fueron presentados por dolor de cuello y/o firma de raíz nerviosa (14). De esos casos, 2/7 fueron diagnosticados con extrusiones de disco intervertebral «laterales» (un caniche de 6 años y un perro salchicha de 10 años) (14). El término «lateral» en ese informe se refiere a lo que llamamos «lateral lejano», de acuerdo con la literatura reciente (12). Los estudios mielográficos contribuyeron principalmente a excluir la compresión en el tubo dural, mientras que las radiografías oblicuas ayudaron a confirmar la presencia de material opaco en el foramen intervertebral («empañamiento» del foramen) (14). La cirugía consistió en hemilaminectomía con facetectomía en todos los casos (en 3 casos se realizó una técnica de ranura ventral en 5-15 días antes de la segunda cirugía, durante la cual no se recuperó material). La cirugía confirmó una posición foraminal del material extruido en 5/7 casos y una posición lateral (lejana) en 2 casos. Todos los casos también recibieron diversos tratamientos médicos.
En nuestro estudio, 10 perros tenían 11 IVDEs: 6/11 eran IVDE combinados far-lateral/foraminal y 5/11 eran IVDE pura far-lateral (es decir, el material extruido se localizaba distal al foramen, lateral al IVD). Las IVD laterales lejanas en perros se han descrito con mayor frecuencia en la zona toracolumbar, afectando principalmente a las IVD lumbares caudales (L5-6 y L6-7) (7). La falta de publicaciones sobre las IVED cervicales en extremo sugiere que rara vez se diagnostica. El conocimiento de este tipo de IVDE sigue siendo de vital importancia para los clínicos, especialmente para aquellos que realizan e interpretan estudios de diagnóstico por imagen. Todas las extrusiones de disco foraminal/far-distal incluidas en este estudio estaban mineralizadas y estaban al nivel de un espacio de disco intervertebral estrecho con un disco intervertebral parcialmente mineralizado. Dado que las lesiones mineralizadas y las estructuras óseas se evalúan bien a partir de las imágenes de TC, estas lesiones eran obvias y se diagnosticaban fácilmente mediante TC. La mineralización puede ser más difícil de describir a partir de estudios de resonancia magnética y, por lo tanto, cuando se sospecha una extrusión de disco foraminal/distal lejano, es importante incluir varias secuencias y varios planos.
Con base en estas consideraciones y los hallazgos de nuestro estudio, recomendamos lo siguiente para optimizar las posibilidades de diagnóstico correcto de IVDE cervical lateral lejano en estudios de resonancia magnética:
• Incluir T2W sagital y T1W sagital para visualizar un disco mineralizado intervertebral estrechado (hipointenso en T2W e hipointenso en T1W).
• Secuencias de supresión de grasa dorsal (como STIR, DIXON), con el fin de evaluar cualquier intensidad de señal anormal lateralizada de los tejidos paravertebrales y perineurales.
• T2W, T1W y T2* transversales a nivel de los forámenes sospechosos/extrusión distal lejana desde el nivel del cuerpo medio de la vértebra craneal hasta el cuerpo medio de la vértebra caudal con respecto al espacio de interés IVD. Un IVD de interés puede definirse como cualquier IVD que muestre características de señal consistentes con la degeneración (p. ej., T2-hipointensidad del núcleo pulposo). La combinación de estas tres secuencias ayudará a visualizar con precisión el material del disco extruido y corroborar la mineralización (hipointensa en todas las secuencias, mejor representada en T2*). Estos planos transversales permitirán la evaluación de los nervios espinales y las arterias vertebrales.
• Seleccione el grosor de corte adecuado, idealmente 2,5 mm cuando utilice las secuencias anteriores.
• Se pueden agregar imágenes PROSET (excitación de agua) para evaluar más a fondo los nervios espinales y evaluar su tamaño y curso.
En cuanto a la TC, la TC parasagital reconstruida muestra la presencia de material hiperatenuante lateralmente si el material del disco está calcificado (degenerado) (Figura 4). El uso de medio de contraste intratecal no iónico (mielograma por TC o mielotomografía computarizada) en este tipo particular de enfermedad IVD podría no agregar ningún valor a menos que haya una compresión concomitante de la médula espinal por parte del material del disco extruido o compresiones adicionales de la médula espinal que afecten a otros espacios de IVD. Sin embargo, cuando se utiliza un medio de contraste intravenoso no iónico, puede revelarse una pérdida de continuidad de la señal de la arteria vertebral de forma más conspicua que en los estudios de resonancia magnética. Al igual que en la resonancia magnética, la reconstrucción del plano dorsal y las imágenes del plano transversal a nivel del IVD pueden proporcionar una mayor confirmación y evaluación del material del disco extruido lateralizado. La distribución del material de disco extruido mineralizado puede visualizarse de manera aún más visible en las imágenes de TC que en las imágenes de RMN. Esto se ejemplifica en la Figura 4C, donde el material del disco extruido y calcificado se puede visualizar en la cara craneal del foramen transverso, comprimiendo las estructuras del mismo (por ejemplo, la arteria vertebral).
Si bien no informamos sobre el uso de la radiografía y la mielografía (aparte de la mielografía por TC), Felts y Prata (1983) han demostrado la utilidad de las radiografías oblicuas específicamente (14). Sin embargo, las imágenes transversales ofrecen ventajas considerables (p. ej., facilidad para obtener imágenes diagnósticas y mayor capacidad para localizar la IVDE).
El signo clínico de la hiperestesia cervical se presenta en la mayoría de los perros afectados por IVDE tanto laterales como foraminales. En un estudio reciente sobre IVDE toracolumbares caninos lejanos o foraminales, el 92% (35/38) mostró signos de dolor (7). Todos los perros presentaban dolor o cojera en las extremidades pélvicas. Dos perros no mostraron signos de dolor en el examen, pero el propietario informó de episodios de aullidos intermitentes. Estos episodios reflejan los «ataques de dolor» reportados por los propietarios en los casos reportados en nuestro estudio. En una serie de casos de IVDE foraminal cervical, los 13 perros incluidos mostraron signos de dolor (12). La firma o cojera de la raíz nerviosa se reportó en la mayoría de los perros en ambas publicaciones (7, 12). La firma o cojera de la raíz nerviosa se reportó 5/10 casos en nuestro estudio. La firma de la raíz nerviosa se reporta con mayor frecuencia cuando los nervios espinales que contribuyen al plexo braquial o lumbosacro están involucrados. Más de la mitad de los casos reportados en nuestro estudio afectaron al IVD C3-4, mientras que en un estudio reciente sobre la firma de la raíz nerviosa en perros con IVD cervical el espacio IVD más frecuentemente afectado fue el C6-7 (15). Curiosamente, el informe de 1983 menciona que la firma de la raíz nerviosa es una característica común para las extrusiones que afectan a las raíces nerviosas (o en realidad generalmente a los nervios espinales) de C4 caudalmente, y no ocurre para las lesiones que afectan a las de C1-3 (14). El nervio espinal C4 sale en C3-4. Nuestro estudio incluyó perros con IVDE cervicales en C3-4 con firma de la raíz nerviosa como signo clínico. La razón de la firma de la raíz nerviosa debido a lesiones craneales a los segmentos y las raíces nerviosas asociadas que contribuyen al plexo braquial es objeto de debate y sigue siendo especulativa (14).
Los «ataques de dolor» reportados por los propietarios y documentados en video tienen el potencial de ser malinterpretados como ataques epilépticos. Esto se evidencia por el hecho de que al caso # 9 se le recetó fenobarbital por el veterinario remitente en base a una sospecha de actividad de convulsiones epilépticas. Existen varios imitadores de las convulsiones epilépticas (16), como el síncope, la narcolepsia/cataplejía, la debilidad neuromuscular, los cambios paroxísticos en el comportamiento, los ataques vestibulares, la discinesia paroxística y el temblor idiopático de la cabeza (17). El dolor episódico debe tenerse en cuenta cuando los propietarios informan de «convulsiones» o «ataques». La falta de respuesta del fenobarbital puso en duda la naturaleza epiléptica de las convulsiones reportadas por el propietario en el caso # 9. Un examen cuidadoso de las imágenes de video y un interrogatorio en profundidad del propietario para detectar signos reveladores de las características de las convulsiones epilépticas (por ejemplo, signos postictales y signos autonómicos) pueden ayudar a diferenciar entre todos estos diagnósticos diferenciales.
La irritación o lesión de los nervios espinales puede dar lugar al fenómeno clínico de «hiperexcitabilidad de los nervios periféricos», que provoca descargas eléctricas en los nervios y contracciones musculares aparentemente espontáneas denominadas «fasciculaciones» (18). Un disco extruido lateralizado comprimirá los tejidos blandos adyacentes a él, incluidos los nervios espinales y las ramas de los mismos, a medida que se dirigen hacia sus objetivos previstos. Las fasciculaciones pueden sentirse (palparse) o verse como parpadeos de fibras musculares que se contraen debajo de la piel. Aunque estas fasciculaciones no son provocadas voluntariamente (es decir, son involuntarias), no pueden considerarse como verdaderamente espontáneas, ya que existe una causa identificable para su aparición en el caso de la compresión de las fibras nerviosas. Por otra parte, esta actividad muscular en la región cervical se ha denominado «sacudidas cervicales» en la literatura reciente (19).
El caso #7 mostró un signo clínico notable que nosotros, basados en la literatura humana, hemos denominado pseudodistonía cervical (episódica). La distonía se denomina en la literatura de forma variable como un signo clínico («dys-» = malo, enfermo o anormal, y «-tonia» de «tonos» = tensión o tono (músculo-)) o un trastorno en sí mismo (20). Un informe de consenso de la literatura humana define la distonía como «un trastorno del movimiento caracterizado por contracciones musculares sostenidas o intermitentes que causan movimientos, posturas anormales, a menudo repetitivos, o ambos» (21). La distonía cervical, como una forma clínica de distonía en particular, es bastante común en los seres humanos y puede ser continua o episódica (21-23). Sin embargo, dado que la distonía cervical se refiere específicamente a un trastorno del movimiento (en su mayoría idiopático, sindrómico y/o genético), todas las demás causas de posturas cervicales anormales que parecen distonía cervical se denominan «pseudodistonía» (24, 25). Las listas no exhaustivas en la literatura humana mencionan muchas causas posibles de pseudodistonía (cervical) (24, 25). Las posibles causas implican lesiones o trastornos que afectan al sistema nervioso central, al sistema nervioso periférico, así como a trastornos no neurológicos. En los casos de IVDE lateral lejano, el sistema nervioso periférico se ve afectado. El perro en el caso #7 fue diagnosticado con un foraminal izquierdo C3-4 y un IVDE lateral lejano, y la postura anormal se alivió con el tratamiento con meloxicam y gabapentina, y no volvió a aparecer después de la interrupción del tratamiento.
En cuanto a las opciones de tratamiento, tanto el tratamiento quirúrgico como el médico se asociaron con resultados de buenos a excelentes en el 90% o más en perros con IVDE toracolumbares o laterales lejanos (7). En un estudio, se informó que la mayoría de los perros con IVDE foraminal cervical se recuperaban por completo solo con terapia médica (12). Asimismo, la mayoría de nuestros casos respondieron favorablemente al tratamiento médico. En el caso # 9 reportado aquí, la terapia médica con solo carprofeno y gabapentina fracasó a corto plazo y la adición de amitriptilina resultó en una mejoría de los «ataques de dolor». La amitriptilina es un antidepresivo tricíclico utilizado para el tratamiento del dolor neuropático en personas y también se utiliza en diversas afecciones que se cree o se ha demostrado que están asociadas con el dolor neuropático en animales (26-28). Hasta la fecha no se ha evaluado su uso para el tratamiento del dolor relacionado con la IVDE en perros. El efecto positivo de la adición de amitriptilina en un caso reportado aquí sugiere que podría considerarse como una adición al tratamiento cuando otras estrategias de tratamiento médico fallan. Se ha reportado que las inyecciones perineurales son una opción de tratamiento para las IVDE cervicales lateralizadas (29). En ese informe, todos los casos tenían una IVDE foraminal, pero según las imágenes del informe, hubo al menos un caso con una extrusión foraminal/lateral lejana combinada. Esta opción de tratamiento podría considerarse en el tratamiento de la IVDE cervical lejana, aunque no se empleó en los casos incluidos en nuestro estudio.
No se empleó tratamiento quirúrgico en ninguno de los casos reportados aquí. Aunque no se señalaron razones específicas, las dificultades esperadas con un abordaje lateral del material que entra en contacto con la arteria vertebral probablemente contribuyeron a una preferencia por el tratamiento médico. Se informó que un abordaje dorsal fue exitoso tanto para la IVDE foraminal como para la lateral lejana (14). Sin embargo, la extirpación de láminas, pedículos y articulaciones facetarias en la técnica reportada y descrita en el artículo no es la adecuada para llegar a una IVDE lateral lejana. No se ha evaluado la utilidad de la fisioterapia, el reposo (en jaula o en banco) u otros tipos de modalidades o recomendaciones de tratamiento complementario (p. ej., terapia con láser y acupuntura) en los casos caninos de IVDE lateral lejano. Todavía se pueden considerar, a pesar de la falta de eficacia específica.
Este estudio tiene varias limitaciones. Al tratarse de un estudio multicéntrico y retrospectivo, los procedimientos diagnósticos, el tratamiento y el seguimiento no fueron estandarizados. Con respecto al seguimiento, esto también significó que no fue posible evaluar específicamente el tiempo hasta el efecto adecuado de los medicamentos o la resolución de los signos clínicos. Si bien se podría esperar que los propietarios pronto se comuniquen para informar sobre el efecto insatisfactorio de los medicamentos analgésicos, las experiencias de los autores varían con respecto a los propietarios que informan sobre la idoneidad del efecto del tratamiento. Es posible que algunos solo lo informen cuando se les solicite en el seguimiento (en vivo o por teléfono). Por ejemplo, el propietario puede informar de una mejoría cuando se le solicite, pero no satisfactoria, lo que lleva a la decisión de añadir medicamentos al tratamiento. Dado que se empleó tratamiento analgésico multimodal en todos los pacientes, no es posible evaluar qué medicamentos beneficiaron más a los pacientes específicamente. Tampoco es posible evaluar qué combinación sería la recomendada específicamente para tratar a los pacientes con IVDE cervical muy lateral. No obstante, en general, el adagio «lo que funcione» se aplicaría con respecto a los medicamentos analgésicos para el tratamiento de estos pacientes (es decir, es primordial esforzarse por lograr una analgesia adecuada). La plétora de diferentes combinaciones, dosis y esquemas de reducción gradual empleados para los pacientes de nuestro estudio puede verse como un reflejo de esta consideración.
Otra limitación es el hecho de que no existían protocolos de imagen estandarizados para los pacientes que se presentaban para los signos clínicos reportados en este estudio, que fueron diseñados específicamente para aumentar la posibilidad de diagnóstico de IVDE cervicales laterales. Además, la falta de mineralización en el material del disco extruido puede contribuir a que no se diagnostique la IVDE en las imágenes de TC en las imágenes de TC, y no incluir todos los espacios de la IVD o los planos de las imágenes dorsales puede contribuir a que se omita el diagnóstico en los estudios de RMN. Por lo tanto, no podemos determinar ni especular sobre la prevalencia o el posible infradiagnóstico de las extrusiones discales laterales cervicales en perros.
Por último, reportamos recurrencia de signos clínicos en un solo caso. Sin embargo, dado que no se realizaron procedimientos diagnósticos en el momento de la recurrencia de los signos, es muy posible que un trastorno diferente o una localización diferente explicaran los signos clínicos en el momento de la recurrencia. En otras palabras, la recurrencia de los signos clínicos no es igual a la recurrencia de los signos clínicos debidos a la misma IVDE cervical lejana o foraminal y lejana.
En conclusión, las extrusiones de disco cervical lateral son una entidad clínica poco frecuente en los perros, pero pueden provocar dolor intenso, posiblemente episódico. El tratamiento médico se asocia con un resultado favorable a corto y largo plazo en la mayoría de los casos.
Declaración de disponibilidad de datos
Las contribuciones originales presentadas en el estudio están incluidas en el artículo/Material complementario, las consultas posteriores pueden dirigirse al autor de correspondencia.
Declaración ética
No se requirió aprobación ética para los estudios con animales de acuerdo con la legislación local y los requisitos institucionales porque los animales fueron tratados de acuerdo con la legislación local y los requisitos institucionales. Se obtuvo el consentimiento informado por escrito de los propietarios para la participación de sus animales en este estudio.
Contribuciones de los autores
KS: Conceptualización, Curación de datos, Análisis formal, Obtención de fondos, Investigación, Metodología, Administración de proyectos, Visualización, Redacción – borrador original, Redacción – revisión y edición. SG: Curación de datos, redacción, revisión y edición. MR: Curación de datos, redacción, revisión y edición. EA: Curación de datos, redacción, revisión y edición. AT: Redacción – revisión y edición. EL: Redacción – revisión y edición. IS: Escritura – revisión y edición. LG: Curación de datos, Metodología, Supervisión, Redacción, revisión y edición. IC: Análisis formal, Investigación, Metodología, Supervisión, Visualización, Redacción – revisión y edición. NB: Redacción – revisión y edición. AM: Curación de datos, redacción, revisión y edición. AF-P: Curación de datos, supervisión, redacción, revisión y edición.
Financiación
El (los) autor(es) declara(n) que se recibió apoyo financiero para la investigación, autoría y/o publicación de este artículo. La cuota de publicación fue cubierta por el fondo de IVC Evidensia para la publicación de artículos científicos revisados por pares.
Reconocimientos
Los autores desean agradecer a Michelle Joffe (Especialistas Veterinarios de Sydney, Sydney, Australia) por la contribución de los archivos clínicos de un paciente incluido en este estudio.
Conflicto de intereses
Los autores declaran que la investigación se llevó a cabo en ausencia de relaciones comerciales o financieras que pudieran interpretarse como un posible conflicto de intereses.
Nota del editor
Todas las afirmaciones expresadas en este artículo son únicamente las de los autores y no representan necesariamente las de sus organizaciones afiliadas, ni las del editor, los editores y los revisores. Cualquier producto que pueda ser evaluado en este artículo, o afirmación que pueda hacer su fabricante, no está garantizado ni respaldado por el editor.
Material complementario
El material complementario para este artículo se puede encontrar en línea en: https://www.frontiersin.org/articles/10.3389/fvets.2024.1465182/full#supplementary-material
Video complementario S1 | Caso #7 – signos episódicos, pseudodistonía cervical.
Vídeo complementario S2 | Caso #8 – ‘ataque de dolor’.
Vídeo complementario S3 | Caso #8 – Señales post-ataque.
Referencias
1. Da Costa, RC, De Decker, S, Lewis, MJ y Volk, H. Consorcio de lesiones de la médula espinal canina (CANSORT-SCI). Diagnóstico por imagen en la enfermedad del disco intervertebral. Frente Vet Sci. (2020) 7:588338. doi: 10.3389/fvets.2020.588338
Resumen de PubMed | Texto completo de Crossref | Google Académico
2. Fenn, J y Olby, Nueva Jersey. Consorcio de lesiones medulares caninas (CANSORT-SCI). Clasificación de la enfermedad del disco intervertebral. Frente Vet Sci. (2020) 7:579025. doi: 10.3389/fvets.2020.579025
Resumen de PubMed | Texto completo de Crossref | Google Académico
3. Moore, SA, Tipold, A, Olby, NJ, Stein, V y Granger, N. Consorcio de lesiones de la médula espinal canina (CANSORT SCI). Enfoques actuales para el manejo de la extrusión aguda del disco toracolumbar en perros. Frente Vet Sci. (2020) 7:610. doi: 10.3389/fvets.2020.00610
Resumen de PubMed | Texto completo de Crossref | Google Académico
4. Spitzbarth, I, Moore, SA, Stein, VM, Levine, JM, Kühl, B, Gerhauser, I, et al. Consorcio de lesiones medulares caninas (CANSORT-SCI). Conocimientos actuales sobre la patología de la lesión medular inducida por extrusión de disco intervertebral canino. Frente Vet Sci. (2020) 7:595796. doi: 10.3389/fvets.2020.595796
Resumen de PubMed | Texto completo de Crossref | Google Académico
5. Bergknut, N, Egenvall, A, Hagman, R, Gustås, P, Hazewinkel, HA, Meij, BP, et al. Incidencia de enfermedades relacionadas con la degeneración del disco intervertebral y tasas de mortalidad asociadas en perros. J am vet med assoc. (2012) 240:1300–9. doi: 10.2460/javma.240.11.1300
Resumen de PubMed | Texto completo de Crossref | Google Académico
6. Casado, D, Fernandes, R, Lourinho, F, Gonçalves, R, Clark, R, Violini, F, et al. Características de la resonancia magnética canina intradural/extramedular de la extrusión del disco intervertebral en siete casos. Frente Vet Sci. (2022) 9:1003042. doi: 10.3389/fvets.2022.1003042
Resumen de PubMed | Texto completo de Crossref | Google Académico
7. Silva, S, Guevar, J, José-López, R, De Decker, S, Brocal, J, de la Fuente, C, et al. Signos clínicos, hallazgos de la resonancia magnética y resultados a largo plazo de las hernias de disco intervertebral toracolumbar foraminal y lateral lejano en perros. Rec. Veterinario. (2022) 190:E1529. DOI: 10.1002/VETC.1529. Epub 12 de marzo de 2022
Resumen de PubMed | Texto completo de Crossref | Google Académico
8. Bagley, RS, Pluhar, GE, y Alexander, JE. Extrusión lateral del disco intervertebral que causa cojera en un perro. J am vet med assoc. (1994) 205:181–5. doi: 10.2460/javma.1994.205.02.181
9. Bagley, R, Tucker, R, y Harrington, M. Extrusión de disco lateral y foraminal en perros. Comp Cont Educ Pract Vet. (1996) 18:795–805.
10. Fadda, A, Lang, J y Forterre, F. Extrusión de disco lumbar lateral lejano: hallazgos de la resonancia magnética y tratamiento quirúrgico. Veterinario Comp Orthop Traumatol. (2013) 26:318–22. doi: 10.3415/VCOT-12-08-0106
Resumen de PubMed | Texto completo de Crossref | Google Académico
11. Kim, J, Kim, H, Hwang, J y Eom, K. Extrusión de disco lumbar lateral lejano en un perro salchicha. Coreano J Vet Res. (2019) 59:165–9. doi: 10.14405/kjvr.2019.59.3.165
12. Bersan, E, McConnell, F, Trevail, R, Behr, S, De Decker, S, Volk, HA, et al. Extrusión de disco foraminal intervertebral cervical en perros: presentación clínica, características de la resonancia magnética y resultado tras el tratamiento médico. Rec. Veterinario. (2015) 176:597. doi: 10.1136/vr.102851
Resumen de PubMed | Texto completo de Crossref | Google Académico
13. Gödde, T, y Steffen, F. Tratamiento quirúrgico de la estenosis foraminal lumbosacra mediante un abordaje lateral en veinte perros con estenosis lumbosacra degenerativa. Cirugía veterinaria. (2007) 36:705–13. doi: 10.1111/j.1532-950X.2007.00324.x
Resumen de PubMed | Texto completo de Crossref | Google Académico
14. Felts, JF, y Prata, RG. Discopatía cervical en el perro: extrusiones intraforaminales y laterales. J Am Anim Hosp Assoc. (1983) 19:755–60.
15. Schachar, J, Bocage, A, Nelson, NC, Early, PJ, Mariani, CL, Olby, NJ, et al. Hallazgos clínicos y de imagen en perros con firma de raíz nerviosa asociada a hernia de disco intervertebral cervical. J Veterinario Pasante Med. (2024) 38:1111–9. doi: 10.1111/jvim.16982
Resumen de PubMed | Texto completo de Crossref | Google Académico
16. Berendt, M, Farquhar, RG, Mandigers, PJ, Pakozdy, A, Bhatti, SF, De Risio, L, et al. Informe de consenso del Grupo de Trabajo Internacional sobre Epilepsia Veterinaria sobre la definición, clasificación y terminología de la epilepsia en los animales de compañía. BMC Vet Res. (2015) 11:182. doi: 10.1186/s12917-015-0461-2
Resumen de PubMed | Texto completo de Crossref | Google Académico
17. De Risio, L, Bhatti, S, Muñana, K, Penderis, J, Stein, V, Tipold, A, et al. Propuesta de consenso del grupo de trabajo internacional veterinario sobre epilepsia: enfoque diagnóstico de la epilepsia en perros. BMC Vet Res. (2015) 11:148. doi: 10.1186/s12917-015-0462-1
Resumen de PubMed | Texto completo de Crossref | Google Académico
18. Cerda-González, S, Packer, RA, Garosi, L, Lowrie, M, Mandigers, PJJ, O’Brien, DP, et al. Declaración de consenso del grupo de trabajo internacional sobre discinesia canina veterinaria ECVN: terminología y clasificación. J Veterinario Pasante Med. (2021) 35:1218–30. doi: 10.1111/jvim.16108
19. Olender, M, Couturier, J, Gatel, L, and Cauvin, E. Cervical jerks as a sign of cervical pain or myelopathy in dogs. J Am Vet Med Assoc. (2023) 261:510–6. doi: 10.2460/javma.22.11.0507
20. Santifort, KM, and Mandigers, PJJ. Dystonia in veterinary neurology. J Vet Intern Med. (2022) 36:1872–81. doi: 10.1111/jvim.16532
21. Albanese, A, Bhatia, K, Bressman, SB, Delong, MR, Fahn, S, Fung, VS, et al. Phenomenology and classification of dystonia: a consensus update. Mov Disord. (2013) 28:863–73. doi: 10.1002/mds.25475
22. Di Biase, L, Di Santo, A, Caminiti, ML, Pecoraro, PM, y Di Lazzaro, V. Clasificación de la distonía. Vida (Basilea). (2022) 12:206. doi: 10.3390/vida12020206
Resumen de PubMed | Texto completo de Crossref | Google Académico
23. Velickovic, M, Benabou, R, y Brin, MF. Distonía cervical: fisiopatología y opciones de tratamiento. Drogas. (2001) 61:1921–43. doi: 10.2165/00003495-200161130-00004
24. Berlot, R, Bhatia, KP y Kojović, M. Pseudodistonía: una nueva perspectiva sobre un viejo fenómeno. El parkinsonismo relata el desorden. (2019) 62:44–50. doi: 10.1016/j.parkreldis.2019.02.008
Resumen de PubMed | Texto completo de Crossref | Google Académico
25. Raju, S, Ravi, A, y Prashanth, LK. La distonía cervical imita: una serie de casos y una revisión de la literatura. Temblor de otros Hyperkinet mov (N Y). (2019) 9:707. doi: 10.7916/tohm.v0.707
26. Grubb, T. Dolor neuropático crónico en pacientes veterinarios. Mejor compañero Anim Med. (2010) 25:45–52. doi: 10.1053/j.tcam.2009.10.007
27. Mathews, KA. Dolor neuropático en perros y gatos: ojalá nos dijeran si duelen. Veterinario Clin North Am Small Anim Pract. (2008) 38:1365-414, VII-VIII. doi: 10.1016/j.cvsm.2008.09.001
Resumen de PubMed | Texto completo de Crossref | Google Académico
28. Moore, S.A. Manejo del dolor neuropático en perros. Frente Vet Sci. (2016) 3:12. doi: 10.3389/fvets.2016.00012
Resumen de PubMed | Texto completo de Crossref | Google Académico
29. Giambuzzi, S, Pancotto, T y Ruth, J. Inyección perineural para el tratamiento de los signos de firma de la raíz asociados con el material de disco lateralizado en cinco perros (2009-2013). Frente Vet Sci. (2016) 3:1. doi: 10.3389/fvets.2016.00001
Resumen de PubMed | Texto completo de Crossref | Google Académico
Palabras clave: hernia, hiperestesia, condrodistrófica, dolor, firma de la raíz nerviosa
Cita: Santifort KM, Gomes S, Ruggeri M, Alcoverro E, Tauro A, Lichtenauer E, Van Soens I, Garosi L, Carrera I, Bergknut N, Marine AF y Feliu-Pascual AL (2024) Serie de casos: Extrusiones de disco intervertebral cervical lejano lateral y cervical tardío/foraminal combinadas en 10 perros. Frente. Vet. Sci. 11:1465182. doi: 10.3389/fvets.2024.1465182
Recibido: 15 de julio de 2024; Aceptado: 14 de octubre de 2024;
Publicado: 06 de noviembre de 2024.
Editado por:
Theresa Elizabeth Pancotto, Virginia Tech, Estados Unidos
Revisado por:
Annette Wessmann, Tierklinik Hofheim, Alemania
John Griffin, Universidad de Texas A y M, Estados Unidos
Copyright © 2024 Santifort, Gomes, Ruggeri, Alcoverro, Tauro, Lichtenauer, Van Soens, Garosi, Carrera, Bergknut, Marine y Feliu-Pascual. Este es un artículo de acceso abierto distribuido bajo los términos de la Licencia Creative Commons Attribution License (CC BY).
*Correspondencia: Koen M. Santifort, koen.santifort@evidensia.nl
†Lugar de trabajo principal/actual
Renuncia: Todas las afirmaciones expresadas en este artículo son únicamente las de los autores y no representan necesariamente a las de sus organizaciones afiliadas, o las del editor, de los editores y de los revisores. Cualquier producto que puede ser evaluada en este artículo o afirmación que puede ser hecha por su El fabricante no está garantizado ni respaldado por el editor.
Date de alta y recibe nuestro 👉🏼 Diario Digital AXÓN INFORMAVET ONE HEALTH
Date de alta y recibe nuestro 👉🏼 Boletín Digital de Foro Agro Ganadero
Noticias animales de compañía
Noticias animales de producción
Trabajos técnicos animales de producción
Trabajos técnicos animales de compañía


