Caso clínico: Leucomielitis necrotizante y meningitis en Pomerania
Caso clínico: Leucomielitis necrotizante y meningitis en Pomerania
Laurent Garosi3
Erik A. W. S. Weerts4- 1IVC Evidensia Small Animal Referral Hospital Arnhem, Neurología, Arnhem, Países Bajos
- 2Hospital de Referencia para Pequeños Animales IVC Evidensia Hart van Brabant, Neurología, Waalwijk, Países Bajos
- 3Veterinario Oracle Teleradiology, Norfolk, Reino Unido
- 4División de Patología, Departamento de Ciencias Biomédicas de la Salud, Facultad de Medicina Veterinaria, Universidad de Utrecht, Utrecht, Países Bajos
Una perra Pomerania entera de 2,5 años de edad se presentó por paraparesia aguda que progresó en 2 días a paraplejia. El examen físico general no presentaba presentaciones. El examen neurológico mostró paraplejia sin nocicepción, reflejo de masa al evaluar los reflejos perineales y los reflejos de retirada en las extremidades pélvicas e hiperreflexia rotuliana. Los reflejos troncos cutáneos estaban ausentes caudales hasta el nivel de la 6ª vértebra torácica. Había hiperestesia espinal. La localización neuroanatómica fue compatible con una mielopatía T3-L3. Los análisis de sangre hematológicos y bioquímicos [incluida la proteína C reactiva (PCR)] se encontraban dentro de los rangos de referencia. La resonancia magnética de la médula espinal desde el nivel de la 1ª vértebra torácica hasta el sacro reveló una lesión intramedular hiperintensa de T2W de moderada a marcada que se extendía desde T1 hasta L4. Se inició tratamiento médico basado en un diagnóstico de trabajo de meningomielitis de causa desconocida con corticoides y metadona basado en las puntuaciones de dolor. El pronóstico fue grave y después de 3 días sin retorno de la nocicepción, el perro fue sacrificado de acuerdo con los deseos de los dueños. El examen histopatológico post-mortem del cerebro y la médula espinal arrojó un diagnóstico morfológico de leucohistiojitis linfohistiocítica necrotizante grave, segmentaria, bilateral y bastante simétrica, con una leptomeningitis angiocéntrica no supurativa. También se encontró un manguito perivascular linfocítico focal menor en el bulbo raquídeo, pero por lo demás no había signos de afectación cerebral. No se identificaron causas infecciosas con las pruebas auxiliares. Este caso clínico subraya la importancia de incluir la meningomielitis en la lista de diagnóstico diferencial de perros que presentan signos neurológicos agudos progresivos referibles a mielopatía.
Introducción
Las mielopatías caninas de inicio agudo son bastante comunes en la neurología clínica veterinaria. La médula espinal toracolumbar es la más afectada, lo que da lugar a presentaciones clínicas que varían desde hiperestesia espinal hasta paresia, parálisis con o sin nocicepción e incontinencia. La causa más común de mielopatía toracolumbar de inicio agudo es la enfermedad del disco intervertebral (IVDD) (1-5). La extrusión del disco intervertebral (IVDE) del núcleo pulposo degenerado representa el subgrupo más grande de IVDD, pero otros subgrupos como la extrusión aguda no compresiva del núcleo pulposo (ANNPE) y la extrusión del núcleo pulposo hidratado (HNPE), con sus propias características clínicas y diagnósticas de imagen, son diagnósticos diferenciales a considerar (2).
Además de la IVDD, en la lista de diagnóstico diferencial de pacientes con mielopatías toracolumbares de inicio agudo se deben incluir otras categorías etiológicas con enfermedades representativas (1). Estos incluyen traumatismos (p. ej., fractura/luxación vertebral y compresión, desgarro, cizallamiento, laceración y hemorragia resultantes de la médula espinal), trastornos inflamatorios (p. ej., discoespondilitis y empiema, meningomielitis infecciosa versus inmunomediada), toxicidad o deficiencia nutricional (rara vez identificada clínicamente en perros, más común en animales de granja), trastornos vasculares [hematomemia, mielopatía isquémica (mielopatía embólica fibrocartilaginosa, FCEM)], anomalías con complicaciones (hamartoma, angioma cavernoso) y trastornos (para)neoplásicos (por ejemplo, mieloma múltiple, linfoma, tumores primarios de la médula espinal). Cada uno de estos trastornos puede tener componentes necrotizantes e inflamatorios primarios o secundarios que pueden ser identificados definitivamente mediante examen histopatológico. La mielomalacia ascendente-descendente causada por una lesión primaria de la médula espinal debida a IVDE es un ejemplo de necrosis progresiva grave, generalmente mortal y a menudo hemorrágica, del parénquima de la médula espinal (6-8).
Para diferenciar clínicamente entre las diferentes categorías etiológicas, el razonamiento clínico y los resultados de las pruebas diagnósticas se combinan para obtener el diagnóstico in vivo más probable o confirmado. El diagnóstico por imagen es el pilar para el diagnóstico de mielopatías toracolumbares agudas en perros, complementado con pruebas auxiliares como análisis de sangre (hematología, bioquímica, proteína C reactiva [PCR]), análisis del líquido cefalorraquídeo (LCR) y pruebas serológicas y de reacción en cadena de la polimerasa para agentes infecciosos. La resonancia magnética (RM) es el estándar de oro para el diagnóstico de la mayoría de las mielopatías toracolumbares en perros.
Se han descrito las características de imagen de varias entidades patológicas específicas, incluidos los subtipos de IVDD, las causas infecciosas (p. ej., discoespondilitis) y las causas vasculares (p. ej., FCE) (9-13). Además, numerosos informes incluyen descripciones individuales de los hallazgos en los estudios de imagen para trastornos específicos, incluida la meningomielitis infecciosa y no infecciosa. Combinando los planos transversal, dorsal y sagital de diferentes tipos de secuencias, se puede lograr hasta cierto punto la diferenciación entre trastornos que afectan preferentemente a ciertas localizaciones (p. ej., focal/multifocal, gris/sustancia blanca/ambas, unilateral/bilateral) en la médula espinal. Sin embargo, el examen histopatológico sigue siendo invaluable para una descripción más precisa y certeza.
En este caso clínico se detallan los hallazgos clínicos, diagnósticos por imagen e histopatológicos en un perro de raza pequeña con mielopatía T3-L3 aguda, simétrica, progresiva, dolorosa y con pérdida de nocicepción. El objetivo es destacar el valor, los inconvenientes y la importancia de cada uno, así como documentar los hallazgos detallados de este caso cuya verdadera etiología sigue siendo desconocida.
Descripción del caso
Una perra Pomerania entera de 2,5 años de edad fue presentada al servicio de neurología del Hospital de Pequeños Animales IVC Evidensia (Arnhem, Países Bajos) para una paraparesia aguda que progresó en 2 días a paraplejia. El veterinario remitente había diagnosticado luxación rotuliana bilateral y había prescrito reposo y meloxicam (0,1 mg/kg por OS cada 24 horas) 3 días antes. Durante el fin de semana, el perro se deterioró rápidamente y perdió la capacidad de deambular, orinar y defecar. El examen general no tuvo nada de especial. El examen ortopédico reveló luxación rotuliana bilateral. El examen neurológico mostró paraplejia sin nocicepción, reflejo de masa al evaluar los reflejos perineales y los reflejos de retirada en las extremidades pélvicas e hiperreflexia rotuliana. Los reflejos troncos cutáneos estaban ausentes caudales hasta el nivel de la 6ª vértebra torácica. Había hiperestesia toracolumbar (para)espinal. La vejiga estaba llena y, tras la extracción manual, se observó resistencia al esfínter uretral compatible con una vejiga de neurona motora superior. El resto del examen, que incluyó la evaluación del estado mental y el comportamiento, las pruebas de función de los nervios craneales y las pruebas propioceptivas y reflejas de las extremidades torácicas, no tuvo nada de especial. Se concluyó la localización neuroanatómica de una mielopatía T3-L3. Los análisis de sangre hematológicos y bioquímicos [incluida la proteína C reactiva (PCR; 6,1 mg/L, rango de referencia 0-10,0 mg/L)] no fueron destacables.
El principal diagnóstico diferencial considerado en este momento fue la IVDD (IVDE, posiblemente con mielomalacia secundaria). Otros diagnósticos diferenciales que se consideraron en este punto incluyeron traumatismos no presenciados, epidemiologías vasculares (hematomemia), inflamatorias (meningomielitis de origen desconocido, sospecha de inmunomediación), infecciosas (p. ej., mielitis protozoaria, mielitis por el virus del moquillo canino), anomalías con complicaciones agudas y etiologías neoplásicas (p. ej., linfoma).
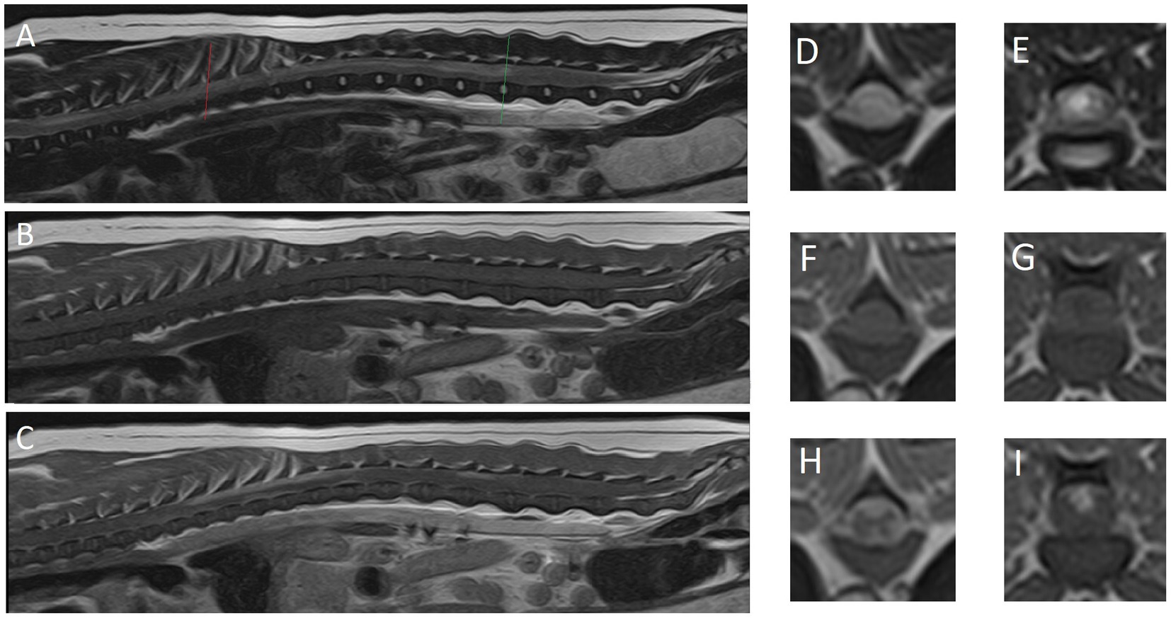
Se realizó un estudio de resonancia magnética de alto campo (RM; 1,5 T Canon Vantage Elan) de la médula espinal toracolumbar desde el nivel de la 1ª vértebra torácica hasta el sacro bajo anestesia general. La premedicación incluyó 0,4 mg/kg de metadona y 6 μg/kg de dexmedetomidina, seguidos de 3 mg/kg de propofol en bolos para la inducción de la anestesia. Se utilizó isoflurano al 2-3% para el mantenimiento del plano anestésico. Las secuencias realizadas incluyeron: sagital ponderada en T2 (T2W), recuperación sagital de la inversión tau corta (STIR), T1W sagital, STIR dorsal, T2W transversal, T1W transversal, T2* transversal, T1W post-contraste transversal, T1W post-contraste sagital 3D y T1W post-contraste transversal con saturación de grasa. Las imágenes de RM no revelaron signos de enfermedad del disco intervertebral, la señal del núcleo pulposo de todos los discos intervertebrales fotografiados era T2 hiperintensa. Se observó una lesión intramedular irregular y mal definida, de extensión variable, pero observada desde T1 hasta L4 (Figura 1). Tanto la materia gris como la blanca se vieron afectadas. Toda el área de la sección transversal del cordón se vio afectada a nivel de T9. La lesión era heterogénea, de moderada a marcada T2W hiperintensa en comparación con el resto de la médula y T1W isointensa. El parénquima de la médula espinal mostró un realce moderado y parcheado del contraste de T7 a T12 y de L1 a L3. El cordón parecía hinchado a esos niveles y las meninges circundantes estaban engrosadas y aumentaban el contraste, incluido el realce a lo largo de la fisura medial ventral a nivel de T9. Una punción lumbar de LCR no tuvo éxito.
Figura 1. Imágenes de resonancia magnética del caso reportado. (A) El plano sagital medio, (D) el plano transversal y (E) el plano transversal son imágenes ponderadas en T2. (B) El plano sagital medio, (F) el plano transversal y (G) el plano transversal son imágenes ponderadas en T1. (C) El plano sagital medio, (H) el plano transversal y (I) el plano transversal son imágenes post-contraste ponderadas en T1. (D, F, H) El nivel de T8 (línea roja). (E, G, I) El nivel del disco intervertebral L3-4 (línea verde).
Los principales diagnósticos diferenciales que se consideraron en este momento incluyeron etiologías inflamatorias (meningomielitis de origen desconocido, sospecha de inmunomediación), infecciosas (p. ej., mielitis protozoaria, mielitis por el virus del moquillo canino) y neoplásicas (p. ej., linfoma).
Se inició tratamiento médico con dexametasona (0,4 mg/kg una vez por vía intravenosa), prednisolona (1 mg/kg cada 12 h por vía oral) y metadona según las puntuaciones de dolor (0,2-0,5 mg/kg cada 4-8 h). Se colocó un catéter urinario permanente y se inició fluidoterapia intravenosa (solución de lactato de Ringer 3-5 mL/kg/h). El pronóstico fue grave y después de 3 días sin retorno de la nocicepción, el perro fue sacrificado (por administración intravenosa de 140 mg/kg de pentobarbital) de acuerdo con los deseos de los propietarios.
Se realizó un examen macroscópico e histopatológico post-mortem del cerebro y la médula espinal. Macroscópicamente, los segmentos toracolumbares de la médula espinal estaban hinchados y mostraban una decoloración amarillenta a través de la duramadre intacta. Después de la fijación en formol tamponado al 10% y el corte de los segmentos toracolumbares afectados, se identificaron áreas mácicas en los funículos dorsal y ventral.
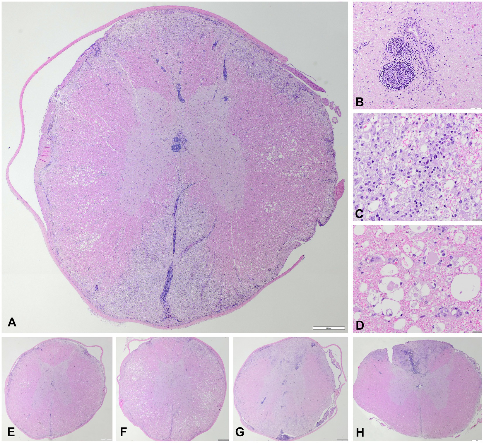
El examen microscópico de cinco secciones de médula espinal T3-L3 teñidas con hematoxilina y eosina confirmó un proceso inflamatorio restringido principalmente a la sustancia blanca de la médula espinal y a las leptomeninges (Figura 2). Este proceso se caracterizó por una leucoencefalitis necrotizante severa bilateral y bastante simétrica (Figura 2A) con manguitos linfocitarios perivasculares (Figura 2B). En el epicentro de las lesiones, en los segmentos T9-T12, los funículos dorsal y ventromedial presentaban palidez marcada y eran hipercelulares. Un gran número de histiocitos infiltraron, comprimieron y borraron las fibras nerviosas en esos lugares, borrando totalmente la arquitectura de la sustancia blanca espinal. Numerosos axones estaban agrandados (esferoides), y había vainas de mielina vacías, y la descomposición de la mielina acompañada de grandes macrófagos, células gitter que se encuentran dentro de vainas de mielina dilatadas que contienen restos axonales, todo mezclado con unos pocos linfocitos y neutrófilos (Figuras 2C, D). Lesiones inflamatorias granulomatosas similares también afectaron circunferencialmente a la sustancia blanca más submeníngea y superficial, que aparece pálida, edematosa e hipercelular. No se encontraron tales lesiones en la sustancia gris de la médula espinal. En T9-T12, la visualización de las meninges confirmó la presencia de grandes infiltrados linfocíticos que rodean las arterias espinales ventral y dorsal, así como su árbol vascular a lo largo de las leptomeninges (Figuras 2A, G, H). La rama central de la fisura media ventral estaba poblada por una densa población de linfocitos con unos pocos monocitos y neutrófilos que, al entrar en la sustancia gris, expandieron unos pocos espacios de Virchow-Robin que rodean el canal central de los cuernos ventrales. De manera similar, las ramas de las arterias espinales dorsales dieron lugar a manguitos linfocitarios perivasculares y linfocitos dispersos en el neuropilo de los cuernos dorsales. No se observó necrosis neuronal en ninguna sección. No hubo evidencia de vasculitis, trombosis, necrosis vascular o tromboembolismos en ninguna de las secciones examinadas.
Figura 2. Imágenes microscópicas, hematoxilina y eosina. (A) Sección transversal de la médula espinal torácica a nivel de T9 con leucomielitis necrotizante y linfohistiocítica bilateral bastante simétrica de los funículos dorsal, lateral y ventral con un patrón vascular que afecta a la arteria espinal ventral y a las arterias dorsolaterales, y sus ramas principales (vertical y surcal), cambios degenerativos de las vainas de mielina y axones en los funículos laterales, y sustancia gris no necrótica con manguito perivascular linfocítico e infiltración linfohistiocítica multifocal dentro de las leptomeninges. Barra de escala = 500 μm. (B) Manguito perivascular linfocítico en la sustancia gris adyacente al canal central. Barra de escala = 50 μm. (C) Detalle de los funículos dorsal y lateral, leucomielitis necrotizante y linfohistiocítica con presencia de muchas células de Gitter. Barra de escala = 20 μm. (D) Detalle de los funículos laterales, vacuolización de vainas de mielina con marcada hinchazón de axones (esferoides). Barra de escala = 20 μm. (E) Sección transversal de la médula espinal torácica a nivel de T3. Barra de escala = 500 μm. (F) Sección transversal de la médula espinal torácica a nivel de T6. Barra de escala = 500 μm. (G) Sección transversal de la médula espinal torácica a nivel de T12. Barra de escala = 500 μm. (H) Sección transversal de la médula espinal torácica a nivel de L3/4. Barra de escala = 500 μm. La extensión craneocaudal de las lesiones, con afectación preferente de los funículos dorsales en el segmento lumbar en H, se aprecia en E-H.
Craneal pero también en T9 (Figuras 2A, E, F), los funículos laterales de la médula espinal mostraron evidencia de degeneración del tracto axonal en forma de esferoides axonales y cámaras de digestión con astrocitos y capilares reactivos (Figuras 2E, F). El proceso inflamatorio en esas secciones rostral de la médula espinal fue mínimo y se limitó a unas pocas células inmunitarias que se infiltraron en algunos espacios perivasculares.
Las tinciones especiales auxiliares para ayudar a la detección de agentes infecciosos incluyeron un PAS (ácido peryódico-schiff), la tinción de plata metenamina de Grocott y una tinción de Giemsa, y arrojaron un resultado negativo. La inmunohistoquímica para la detección del virus del moquillo canino, Toxoplasma gondii, Neospora caninum y parvovirus canino también arrojó resultados negativos. Las pruebas de reacción en cadena de la polimerasa (PCR) en tiempo real en tejido de la médula espinal para Bartonella spp., virus del moquillo canino, Cryptococcus neoformans, Neospora spp. y Toxoplasma gondii también fueron negativas.
El diagnóstico morfológico final fue una leucomielitis linfohistiocítica necrotizante grave, segmentaria, bilateral y bastante simétrica, con leptomeningitis angiocéntrica no supurativa. No se identificó una etiología específica.
Discusión
A pesar de no poder llegar a un diagnóstico etiológico específico en este caso, consideramos importante documentar este caso por una serie de razones que discutiremos en los siguientes párrafos.
En primer lugar, el valor y las dificultades de utilizar el razonamiento clínico para determinar el diagnóstico diferencial más probable se ponen de relieve por el cambio en el número y los tipos de diagnósticos diferenciales considerados en este caso. El principal diferencial considerado después de la anamnesis y el examen clínico fue la IVDD (IVDE). Por lo general, se trata de un trastorno tratable quirúrgicamente. El único parámetro clínico de valor pronóstico consistente en perros con IVDE toracolumbar es la presencia o ausencia de nocicepción; Los perros sin nocicepción en las extremidades pélvicas o en la cola tienen un peor pronóstico de recuperación (4). En un estudio (1), la pérdida de nocicepción en la enfermedad de la médula espinal canina se observó solo en el 5-6% de los casos, y las causas enumeradas incluyen IVDE, mielopatía isquémica y extrusión aguda no compresiva del núcleo pulposo (ANNPE) (1). El grado de discapacidad neurológica, principalmente la pérdida de nocicepción, ha sido identificado como un factor de riesgo para el desarrollo de mielomalacia ascendente-descendente. Un gran estudio determinó que el 14,5% de los perros sin nocicepción desarrollaron esta desastrosa complicación, mientras que un estudio más pequeño encontró que el 21,5% de los perros sin nocicepción murieron como consecuencia de la misma a pesar de la cirugía de rutina (6, 8). Recientemente se propuso la hemilaminectomía extensa y la durotomía, que han demostrado disminuir la tasa de esta complicación en perros (8, 14, 15). En nuestro caso, la nocicepción estaba ausente, lo que llevó a un rápido diagnóstico por imágenes para evaluar con precisión si este perro podría haberse beneficiado de la cirugía. Los resultados de las imágenes diagnósticas dieron como resultado un plan muy diferente. Por lo tanto, si bien el razonamiento clínico es de gran valor para los médicos, el diagnóstico poco común o menos esperado no debe descartarse desde el principio. Esto es más importante cuando se informa a los propietarios antes de los resultados de las pruebas diagnósticas sobre los posibles resultados de las pruebas en sí o, prematuramente, de los procedimientos recomendados que siguen a los resultados de esas pruebas.
En segundo lugar, el valor y las limitaciones de la RM para diagnosticar o excluir los diferenciales de la lista de diagnóstico diferencial se reflejan en este informe de caso. Los hallazgos de la resonancia magnética, aunque muy sugerentes, no confirmaron un proceso inflamatorio. No se identificó IVDD en las imágenes y posteriormente se excluyó de la lista de diagnóstico diferencial. Dado que la punción del LCR falló, no se dispuso de más indicaciones clínicas para corroborar la sospecha de inflamación o posiblemente identificar células neoplásicas. La histopatología post-mortem confirmó las sospechas de inflamación, pero también nos brindó la oportunidad de evaluar las similitudes entre los hallazgos diagnósticos por imagen (Figura 1) con los hallazgos histopatológicos (Figura 2). Nos gustaría que el lector los comparara entre sí y apreciara la forma en que los hallazgos de la RM reflejan en gran medida los hallazgos histológicos, pero también apreciamos que los hallazgos histopatológicos son aún más extensos de lo que se puede ver en las imágenes de RM.
En tercer lugar, el valor y las limitaciones del examen histopatológico se ponen de manifiesto en este caso. Se detallaron los cambios en el parénquima medular y las meninges y se confirmó que el proceso patológico era efectivamente severo como se sospechaba en base a las características clínicas y hallazgos imagenológicos, con necrosis del tejido afectado. A pesar de los esfuerzos por identificar una etiología específica, no se encontró ninguna. Por lo tanto, se puede concluir que el término «meningomielitis de origen desconocido» y, más concretamente, desde el punto de vista histológico, caracterizable «leucomielitis necrotizante y meningitis de origen desconocido». El sufijo ‘-de origen desconocido’ se interpreta a menudo como ‘probablemente inmunomediado’. Este puede ser el caso, pero tal vez no. Como se dijo en la introducción, una serie de categorías etiológicas pueden caracterizarse por hallazgos histopatológicos necrosantes e inflamatorios primarios o secundarios. Incluimos deliberadamente en las descripciones el término «justamente» para hacer una anotación de la naturaleza «simétrica» de las lesiones. Se incluyeron para su examen los segmentos de la médula espinal más gravemente afectados (segmentos T8-T10). A nivel de estos segmentos, las lesiones eran severas y bastante simétricas. Sin embargo, lo más probable es que esto no refleje la naturaleza de la etiología subyacente (es decir, el proceso inflamatorio), sino que refleje el efecto del paso del tiempo en un proceso de enfermedad inicialmente multifocal. Los autores sospechan que las lesiones probablemente eran de naturaleza multifocal al principio y que el paso del tiempo condujo a la confluencia de las lesiones. Esto, en combinación con la anatomía restringida de la médula espinal (al menos transversalmente), puede explicar los aspectos de la lesión en etapa terminal vistos y descritos en este informe. Después de deliberar con otros (neuro)patólogos veterinarios, se concluyó que los cambios necrotizantes son muy probablemente secundarios a una combinación de los procesos inflamatorios, así como a la isquemia relacionada con los efectos de presión de la inflamación sobre los vasos sanguíneos del parénquima de la médula espinal. La distribución de las lesiones en las regiones de los vasos sanguíneos más grandes y el patrón bilateralmente bastante simétrico nos parecieron sugestivos de ello. Además, la magnitud de los cambios y daños en la materia gris fue claramente superada por la de la sustancia blanca. Podría decirse que la meningomielitis necrotizante puede ser aplicable para no limitar el diagnóstico morfológico a la sustancia blanca de la médula espinal e incluir las anomalías en la sustancia gris. Aun así, los autores concluyeron que la gravedad de las lesiones en la sustancia blanca preferentemente sobre la sustancia gris amerita la inclusión del prefijo leuco- en este caso. Por último, aunque se realizaron una serie de pruebas auxiliares, como IHQ y PCR, no se pueden excluir las causas infecciosas de los cambios patológicos identificados debido a la falta de pruebas para otros agentes, así como a la sensibilidad y especificidad imperfectas de estas pruebas. Informes recientes sobre la encefalitis transmitida por garrapatas en perros revelaron principalmente cambios cerebrales bilaterales y simétricos con la resonancia magnética (16, 17). Otras etiologías más comúnmente ligadas a cambios bilaterales y simétricos serían las etiologías metabólicas, tóxicas, nutricionales y degenerativas, pero ninguna de estas categorías se asocia a los cambios identificados en este caso según el conocimiento de los autores. Debido a la falta de identificación de una causa infecciosa, consideramos preferentemente una base autoinmune para los cambios observados en este caso, aunque reconocemos el hecho de que no podemos estar completamente seguros. Desde este punto de vista, podría aplicarse la expresión «leucomielitis necrotizante y mielitis de origen desconocido».
La meningomielitis en perros puede ser causada por una infección, pero se sospecha que también ocurre alternativamente como una enfermedad presuntamente mediada por el sistema inmunitario (18-21). Varios estudios que buscan causas infecciosas de meningoencefalomielitis o meningoencefalitis no han identificado agentes infecciosos, lo que lleva al uso continuado del sufijo ‘-de origen desconocido’ o bastandismo similar (22, 23). No se han realizado estudios similares centrados únicamente en la MUO de la médula espinal. La meningomielitis necrotizante de origen desconocido o las formas necrotizantes de meningoencefalitis de origen desconocido (MUO) que afectan solo a la médula espinal se notifican raramente en perros de diversas razas, tanto pequeños (incluidos los toy) como grandes (p. ej., sabuesos) (18, 19) y en su mayoría perros jóvenes a de mediana edad (18-20). Los signos neurológicos son diversos, pero la ataxia propioceptiva general, la paresia y la hiperestesia paraespinal son los signos clínicos más comúnmente reportados (18, 19). El caso aquí reportado es inusual en cuanto a la gravedad de la presentación clínica, presentándose paraplejia sin nocicepción e incontinencia urinaria y fecal. En un estudio que documentó que la MUO afectaba solo a la médula espinal, no se documentó ni un solo caso de (tetra o) parapléjico sin nocicepción (18). La mayoría de los casos tenían afectación de los segmentos de la médula espinal cervical. La incontinencia urinaria y/o fecal se reporta en una minoría (10%) (18). En ese estudio, un solo caso de una hembra Yorkshire terrier castrada de 3 años de edad que presentaba tetraparesia ambulatoria fue diagnosticado con meningoencefalomielitis necrotizante a través del examen histopatológico (18). Además, se publicó como informe de caso una Weimaraner castrada de 2 años de edad con mielitis y vasculitis necrohemorrágica aguda, que se presentó en una clínica veterinaria con paraparesia ambulatoria que progresó a estado no ambulatorio (19). En cuanto a la consistencia de los hallazgos histopatológicos subyacentes, en nuestro caso no se encontraron signos de vasculitis y hemorragia como los reportados en el caso de Weimaraner (19) y no se dieron hallazgos histopatológicos detallados en el estudio en el Yorkshire terrier (18).
Específicamente en lo que respecta al caso aquí relatado, los autores desean llamar la atención de los lectores sobre algunas consideraciones importantes.
En nuestro caso, la punción lumbar del LCR no tuvo éxito y no se pudo realizar el análisis del LCR. Se ha demostrado el valor añadido del análisis del LCR en casos de mielopatías inflamatorias (18, 19, 21, 24, 25). Un estudio encontró una pleocitosis en el LCR en el 100% de los casos de MUO «solo espinal». La medición de proteínas totales estuvo por encima de los valores de referencia en 17/18 perros (94%). Por el contrario, la leucocitosis en los hemogramas completos solo estuvo presente en 2 perros (10%), mientras que la linfopenia estuvo presente en seis perros (29%). La punción lumbar de LCR no tuvo éxito en el 13,9% de los casos en los que se intentó (26). En retrospectiva, la punción cisternal del LCR, aunque probablemente produjo una muestra menos representativa para el análisis en caso de mielopatías (27, 28), podría haberse considerado para el caso reportado aquí. Los análisis de sangre generales, incluido un hemograma completo, no revelaron anomalías y la PCR sérica estaba dentro del rango de referencia en nuestro caso. Este hallazgo es consistente con que la PCR también es normal en la mayoría de los casos de MUO (29). En el caso de la MUO (no para la MUO espinal o la meningomielitis no infecciosa), numerosos estudios se han centrado en los hallazgos de biomarcadores específicos y fiables (29). A medida que esta búsqueda continúe, futuros estudios también podrían centrarse en su valor en el diagnóstico de la meningomielitis de origen desconocido en perros.
Los hallazgos de la resonancia magnética en nuestro caso consistieron en un área extensa de lesiones hiperintensas T2W multifocales (probablemente confluentes) que eran isointensas T1W y mostraban realce del contraste parenquimatoso (médula espinal) y meníngeo. Se han descrito características de meningomielitis de origen desconocido en perros por resonancia magnética (18). Estos incluyen: focales (71%), multifocales (19%) o sin lesiones (10%); lesiones intramedulares hiperintensas mal definidas en las imágenes de T2W que son isointensas en las imágenes de T1W; realce del contraste parenquimatoso (86%); y realce del contraste meníngeo (81%). El realce del contraste meníngeo podría ser el único hallazgo (18). En la resonancia magnética se pueden identificar lesiones cerebrales concurrentes, lo que sugeriría meningoencefalomielitis que puede confirmarse mediante un examen histológico (18). El extenso realce del contraste parenquimatoso y meníngeo observado en los estudios post-contraste realizados en nuestro caso proporciona información valiosa para dar preferencia al diagnóstico de meningomielitis.
En el caso que aquí se relata, el tratamiento se limitó al tratamiento inmunosupresor con dexametasona y prednisolona. En un estudio que incluyó a 21 perros con «MUO solo espinal», se informó sobre el tratamiento médico y los resultados del mismo (18). Todos los perros fueron tratados con dosis inmunosupresoras de corticosteroides (dexametasona 0,3-0,5 mg/kg/día o prednisolona 2-4 mg/kg/día). Catorce perros (67%) recibieron tratamiento adicional con arabinósido de citosina en varios protocolos. Tres perros (14%) mostraron deterioro a pesar del tratamiento. No hay pruebas definitivas de que el tratamiento adicional (p. ej., con arabinósido de citosina) a los corticosteroides proporcione beneficios en los casos de MUO (30, 31). Los estudios futuros deberían proporcionar más información sobre los posibles beneficios de los mismos (32).
Se optó por la eutanasia para el perro en este informe de caso debido a un pronóstico grave basado en la gravedad de los signos clínicos iniciales, incluida la ausencia de nocicepción e incontinencia, y la ausencia de signos de mejoría después del inicio del tratamiento. Con base en dos estudios más grandes de perros con meningomielitis (uno que incluye solo una etiología no infecciosa, el otro que incluye etiologías infecciosas y no infecciosas), aproximadamente el 50% de los perros con este diagnóstico mueren (ya sea por eutanasia o de forma natural) a pesar de los intentos de tratamiento (18, 19).
En el ámbito de la medicina comparada o One Health, en la literatura médica humana el término «mielitis transversa (idiopática)» se utiliza para describir una inflamación aguda y bilateral de la médula espinal con causas infecciosas o no infecciosas (idiopáticas) (33-39). Muchos pacientes en la categoría más severamente afectada presentarán pérdida de sensibilidad e incontinencia. Los hallazgos de la resonancia magnética se superponen en gran medida a los informados para la MUO «solo espinal» en perros (18, 35, 36). El porcentaje del área de la sección transversal de la médula espinal que se ve afectada varía, pero a menudo supera los dos tercios (35). En nuestro caso, el 100% del área transversal se vio afectada a nivel de la vértebra T9. Esta característica no se correlaciona necesariamente con la gravedad clínica en humanos (33, 35, 36). Las características específicas de la resonancia magnética también pueden ser valiosas para determinar la probabilidad de mielitis transversa idiopática frente a las causas infecciosas de mielitis transversa (36). Los estudios futuros pueden proporcionar más información sobre el valor de la RM para la diferenciación de las causas infecciosas y no infecciosas (sospecha de mediación inmunitaria) de meningomielitis. Sin embargo, también está claro en la literatura médica humana que los diagnósticos in vivo de mielitis transversa (idiopática) no pueden considerarse diagnósticos definitivos (40); Los diagnósticos histopatológicos pueden diferir en un gran número de casos sospechosos. En nuestro caso, el diagnóstico de leucomielitis y meningitis necrotizante linfohistiocítica grave, multifocal, bilateral y bastante simétrica, multifocal, con patrón vascular que afecta a la arteria espinal ventral y a las arterias dorsolaterales, y a sus principales ramas (vertical y surcal) se basó en la histopatología post-mortem de todo el sistema nervioso central. Este patrón particular de lesiones inflamatorias en la médula espinal no se ha documentado antes en perros, que los autores conozcan.
En conclusión, este caso clínico subraya la importancia de incluir la meningomielitis en la lista de diagnóstico diferencial de perros que presentan signos neurológicos agudos progresivos referibles a mielopatía. El razonamiento clínico, las pruebas diagnósticas, incluidas las imágenes diagnósticas, y los exámenes histopatológicos tienen su propio valor y sus escollos o limitaciones a tener en cuenta.
Declaración de disponibilidad de datos
Las contribuciones originales presentadas en el estudio se incluyen en el artículo/material complementario, las consultas posteriores pueden dirigirse al autor correspondiente.
Declaración ética
No se requirió aprobación ética para los estudios con animales de acuerdo con la legislación local y los requisitos institucionales, ya que el animal fue tratado de acuerdo con la legislación local y los requisitos institucionales. Se obtuvo el consentimiento informado por escrito de los propietarios para la participación de sus animales en este estudio.
Contribuciones de los autores
KS: Conceptualización, Curación de datos, Investigación, Visualización, Escritura – borrador original. LG: Investigación, Visualización, Escritura – Revisión y Edición. EW: Investigación, Visualización, Escritura – Revisión y Edición.
Financiación
El/los autor/es declara(n) haber recibido apoyo financiero para la investigación, autoría y/o publicación de este artículo. La tarifa de publicación fue cubierta por el fondo de IVC Evidensia para la publicación de artículos científicos revisados por pares.
Reconocimientos
Los autores desean agradecer al Dr. Martí Pumarola (Barcelona) y al editor sus comentarios sobre el borrador final del manuscrito antes de su envío y después de la revisión por pares. Los autores desean agradecer y reconocer al departamento de diagnóstico molecular de IDEXX por la realización de las pruebas de PCR.
Conflicto de intereses
Los autores declaran que la investigación se llevó a cabo en ausencia de relaciones comerciales o financieras que pudieran interpretarse como un posible conflicto de intereses.
Nota del editor
Todas las afirmaciones expresadas en este artículo son únicamente las de los autores y no representan necesariamente las de sus organizaciones afiliadas, ni las del editor, los editores y los revisores. Cualquier producto que pueda ser evaluado en este artículo, o afirmación que pueda ser hecha por su fabricante, no está garantizado ni respaldado por el editor.
Referencias
1. Cardy, TJ , De Decker, S , Kenny, PJ y Volk, HA . Razonamiento clínico en la espinopatía canina: ¿qué combinación de información clínica es útil? Rec. Veterinario (2015) 177:171. doi: 10.1136/vr.102988
Resumen de PubMed | Texto completo de Crossref | Google Académico
2. Fenn, J y Olby, Nueva Jersey . Consorcio de lesiones medulares caninas (CANSORT-SCI). Clasificación de la discopatía intervertebral. Front Vet Sci. (2020) 7:579025. doi: 10.3389/fvets.2020.579025
Resumen de PubMed | Texto completo de Crossref | Google Académico
3. Olby, Nueva Jersey , da Costa, RC , Levine, JM y Stein, VM . Consorcio de lesiones medulares caninas (CANSORT SCI). Factores pronósticos de la discopatía intervertebral aguda canina. Front Vet Sci. (2020) 7:596059. doi: 10.3389/fvets.2020.596059
Resumen de PubMed | Texto completo de Crossref | Google Académico
4. Olby, Nueva Jersey , Moore, S.A. , Brisson, B , Fenn, J , Flegel, T , Kortz, G, et al. Declaración de consenso de ACVIM sobre el diagnóstico y el tratamiento de la extrusión aguda del disco intervertebral toracolumbar canino. J Veterinario Pasante Med. (2022) 36:1570–96. doi: 10.1111/jvim.16480
Resumen de PubMed | Texto completo de Crossref | Google Académico
5. Rossi, G , Stachel, A , Lynch, AM y Olby, Nueva Jersey . La enfermedad del disco intervertebral y el tromboembolismo aórtico son las causas más comunes de parálisis aguda en perros y gatos que acuden a una consulta de urgencias. Rec. Veterinario (2020) 187:e81. doi: 10.1136/vr.105844
Resumen de PubMed | Texto completo de Crossref | Google Académico
6. Balducci, F , Canal, S , Contiero, B y Bernardini, M . Prevalencia y factores de riesgo de mielomalacia presunta ascendente/descendente en perros tras hernia discal intervertebral toracolumbar. J Veterinario Pasante Med. (2017) 31:498–504. doi: 10.1111/jvim.14656
Resumen de PubMed | Texto completo de Crossref | Google Académico
7. Griffiths, IR . La mielopatía extensa de las protuberancias del disco intervertebral en perros («síndrome ascendente»). J Pequeña Anim Pract. (1972) 13:425–37. doi: 10.1111/j.1748-5827.1972.tb06870.x
Resumen de PubMed | Texto completo de Crossref | Google Académico
8. Takahashi, F , Honnami, A , Toki, M , Dosaka, A , Fujita, Y , Hara, Y, et al. Efecto de la durotomía en perros con hernia discal toracolumbar y sin percepción de dolor profundo en las extremidades posteriores. Cirugía veterinaria. (2020) 49:860–9. doi: 10.1111/vsu.13409
Resumen de PubMed | Texto completo de Crossref | Google Académico
9. da Costa, RC , De Decker, S , Lewis, MJ y Volk, H . Consorcio de lesiones medulares caninas (CANSORT-SCI). Diagnóstico por imagen en la discopatía intervertebral. Front Vet Sci. (2020) 7:588338. doi: 10.3389/fvets.2020.588338
Resumen de PubMed | Texto completo de Crossref | Google Académico
10. De Risio, L , Adams, V , Dennis, R , McConnell, F y Platt, S . Hallazgos de la resonancia magnética y asociaciones clínicas en 52 perros con sospecha de mielopatía isquémica. J Veterinario Pasante Med. (2007) 21:1290–8. doi: 10.1892/06-273.1
Resumen de PubMed | Texto completo de Crossref | Google Académico
11. Mai, W . La resonancia magnética ponderada por difusión de campo de visión reducido puede identificar la difusión restringida en la médula espinal de perros y gatos con diagnóstico clínico presuntivo y de resonancia magnética de alto campo de mielopatía isquémica aguda. Ecografía Radiol Veterinaria. (2020) 61:688–95. doi: 10.1111/vru.12907
Resumen de PubMed | Texto completo de Crossref | Google Académico
12. Ruoff, CM , Kerwin, SC y Taylor, AR . Diagnóstico por imagen de la discoespondilitis. Vet Clin North Am Small Anim Pract. (2018) 48:85–94. doi: 10.1016/j.cvsm.2017.08.007
Resumen de PubMed | Texto completo de Crossref | Google Académico
13. Specchi, S , Johnson, P , Beauchamp, G , Masseau, I y Pey, P . Evaluación de la concordancia interobservador y uso de variables seleccionadas de resonancia magnética para la diferenciación de la extrusión aguda no compresiva del núcleo pulposo y la mielopatía isquémica en perros. J Am Vet Med Assoc. (2016) 248:1013–21. doi: 10.2460/javma.248.9.1013
Resumen de PubMed | Texto completo de Crossref | Google Académico
14. Jeffery, Dakota del Norte , Mankin, JM , Ito, D , Boudreau, CE , Kerwin, SC , Levine, JM, et al. Durotomía extendida para tratar una lesión grave de la médula espinal después de una hernia aguda de disco toracolumbar en perros. Cirugía veterinaria. (2020) 49:884–93. doi: 10.1111/vsu.13423
Resumen de PubMed | Texto completo de Crossref | Google Académico
15. Nakamoto, Y , Uemura, T , Hasegawa, H , Nakamoto, M y Ozawa, T . Resultados de perros con mielomalacia progresiva tratados con hemilaminectomía o con hemilaminectomía extensa y durotomía. Cirugía veterinaria. (2021) 50:81–8. doi: 10.1111/vsu.13514
Resumen de PubMed | Texto completo de Crossref | Google Académico
16. Gonzalo-Nadal, V , Kohl, A , Rocchi, M , Brennan, B , Hughes, J , Nichols, J, et al. Sospecha de meningoencefalomielitis por flavivirus transmitida por garrapatas en perros del Reino Unido: seis casos (2021). J Pequeña Anim Pract. (2024) 65:132–43. doi: 10.1111/jsap.13682
Resumen de PubMed | Texto completo de Crossref | Google Académico
17. Kleeb, C , Golini, L , Beckmann, K , Torgerson, P y Steffen, F . Encefalitis canina transmitida por garrapatas: características clínicas, tasa de supervivencia y secuelas neurológicas: estudio retrospectivo de 54 casos (1999-2016). Front Vet Sci. (2021) 8:782044. doi: 10.3389/fvets.2021.782044
Resumen de PubMed | Texto completo de Crossref | Google Académico
18. Cornelis, I , Volk, HA , Van Ham, L y De Decker, S . Presentación clínica, hallazgos diagnósticos y evolución en perros diagnosticados de meningoencefalomielitis espinal presunta de origen desconocido. J Pequeña Anim Pract. (2017) 58:174–82. doi: 10.1111/jsap.12622
Resumen de PubMed | Texto completo de Crossref | Google Académico
19. Parry, AT , Penning, VA , Smith, KC , Kenny, PJ y Cordero, CR . Diagnóstico por imágenes: meningomielitis necrotizante y poliartritis. Ecografía Radiol Veterinaria. (2009) 50:412–5. doi: 10.1111/j.1740-8261.2009.01558.x
20. Griffin, JF , Levine, JM , Levine, GJ y Fosgate, GT . Meningomielitis en perros: revisión retrospectiva de 28 casos (1999 a 2007). J Pequeña Anim Pract. (2008) 49:509–17. doi: 10.1111/j.1748-5827.2008.00588.x
Resumen de PubMed | Texto completo de Crossref | Google Académico
21. Radaelli, ST y Platt, SR . Meningoencefalomielitis bacteriana en perros: estudio retrospectivo de 23 casos (1990-1999). J Veterinario Pasante Med. (2002) 16:159–63. doi: 10.1892/0891-6640(2002)016<0159:bmidar>2.3.co; 2
Resumen de PubMed | Texto completo de Crossref | Google Académico
22. Barbero, RM , Porter, BF , Li, Q , Mayo, M , Claiborne, MK , Allison, AB, et al. Reacción en cadena de la polimerasa ampliamente reactiva para la detección de patógenos en meningoencefalomielitis granulomatosa canina y meningoencefalitis necrotizante. J Veterinario Pasante Med. (2012) 26:962–8. doi: 10.1111/j.1939-1676.2012.00954.x
Resumen de PubMed | Texto completo de Crossref | Google Académico
23. Hoon-Hanks, LL , McGrath, S , Tyler, KL , Owen, C y Stenglein, MD . Investigación metagenómica de la meningoencefalomielitis idiopática en perros. J Veterinario Pasante Med. (2018) 32:324–30. doi: 10.1111/jvim.14877
Resumen de PubMed | Texto completo de Crossref | Google Académico
24. Di Terlizzi, R y Platt, S . Función, composición y análisis del líquido cefalorraquídeo en animales de compañía: parte I – función y composición. Veterinario J. (2006) 172:422–31. doi: 10.1016/j.tvjl.2005.07.021
Resumen de PubMed | Texto completo de Crossref | Google Académico
25. Di Terlizzi, R y Platt, SR . Función, composición y análisis del líquido cefalorraquídeo en animales de compañía: parte II – análisis. Veterinario J. (2009) 180:15–32. doi: 10.1016/j.tvjl.2007.11.024
Resumen de PubMed | Texto completo de Crossref | Google Académico
26. Fentem, R , Nagendran, A , Marioni-Henry, K , Madden, M , Phillipps, S , Cooper, C, et al. Complicaciones asociadas a la acumulación de líquido cefalorraquídeo en perros. Rec. Veterinario (2023) 193:e2787. doi: 10.1002/vetr.2787
Resumen de PubMed | Texto completo de Crossref | Google Académico
27. Temprano, PJ , Munana, KJ , Olby, NR y Mariani, CL . Comparación de los parámetros del líquido cefalorraquídeo de las cisternas cerebelomedulares y lumbares en 54 perros. ¿Puede Vet J. (2019) 60:885–8.
28. Lampe, R , Foss, KD , Vitale, S , La Haya, DW y Barger, AM . Comparación del análisis del líquido cerebeloso y lumbar en perros con enfermedad neurológica. J Veterinario Pasante Med. (2020) 34:838–43. doi: 10.1111/jvim.15700
Resumen de PubMed | Texto completo de Crossref | Google Académico
29. Andersen-Ranberg, E , Berendt, M y Gredal, H . Biomarcadores de enfermedades inflamatorias no infecciosas del SNC en perros: ¿dónde estamos ahora? Parte I: meningoencefalitis de origen desconocido. Veterinario J. (2021) 273:105678. doi: 10.1016/j.tvjl.2021.105678
Resumen de PubMed | Texto completo de Crossref | Google Académico
30. Barbero, R y Downey, KL . El tratamiento con citarabina al inicio del tratamiento con ciclosporina y glucocorticoides en perros con meningoencefalomielitis de origen desconocido no se asocia con mejores resultados. Front Vet Sci. (2022) 9:925774. doi: 10.3389/fvets.2022.925774
Resumen de PubMed | Texto completo de Crossref | Google Académico
31. Jeffery, N y Granger, N . Nuevos conocimientos sobre el tratamiento de la meningoencefalomielitis de origen desconocido desde 2009: una revisión de 671 casos. Frente. Vet. Sci. (2023) 10:1114798. doi: 10.3389/fvets.2023.1114798
Resumen de PubMed | Texto completo de Crossref | Google Académico
32. Lowrie, M . En busca del mejor análisis sobre el tratamiento de la meningoencefalitis de origen desconocido en perros. Front Vet Sci. (2023) 9:1062114. doi: 10.3389/fvets.2022.1062114
Resumen de PubMed | Texto completo de Crossref | Google Académico
33. Andronikou, S , Albuquerque-Jonathan, G , Wilmshurst, J y Hewlett, R . Hallazgos de la resonancia magnética en la mielopatía transversa idiopática aguda en niños. Pediatr Radiol. (2003) 33:624–9. doi: 10.1007/s00247-003-1004-8
Resumen de PubMed | Texto completo de Crossref | Google Académico
34. Borchers, AT y Gershwin, ME . Mielitis transversa. Autoimmun Rev. (2012) 11:231–48. doi: 10.1016/j.autrev.2011.05.018
35. Choi, KH , Lee, KS , Chung, SO , Parque, JM , Kim, YJ , Kim, HS, et al. Mielitis transversa idiopática: características de la RM. AJNR Am J Neuroradiol. (1996) 17:1151–60.
36. Goh, C , Desmond, PM y Phal, PM . Resonancia magnética en mielitis transversa. J Magn Reson Imaging. (2014) 40:1267–79. doi: 10.1002/jmri.24563
37. Krishnan, C y Kerr, fiscal de distrito . Mielitis transversa idiopática. Arch Neurol. (2005) 62:1011–3. doi: 10.1001/archneur.62.6.1011
38. Grupo de Trabajo del Consorcio de Mielitis Transversa . Criterios diagnósticos propuestos y nosología de la mielitis transversa aguda. Neurología. (2002) 59:499–505. doi: 10.1212/wnl.59.4.499
Resumen de PubMed | Texto completo de Crossref | Google Académico
39. Oeste, TW , Hess, C y Cree, BA . Mielitis transversa aguda: mielopatías desmielinizantes, inflamatorias e infecciosas. Semin Neurol. (2012) 32:097–113. doi: 10.1055/s-0032-1322586
40. Zalewski, Países Bajos , Flanagan, EP y Keegan, BM . Evaluación de la mielitis transversa idiopática que revela diagnósticos específicos de mielopatía . Neurología. (2018) 90:e96–e102. doi: 10.1212/WNL.000000000000004796
Resumen de PubMed | Texto completo de Crossref | Google Académico
Palabras clave: meningomielitis, MUO, inmunomediada, raza pequeña, perro, linfohistiocítico
Cita: Santifort KM, Garosi L y Weerts EAWS (2024) Caso clínico: Leucomielitis necrotizante y meningitis en Pomerania. Frente. Vet. Sci. 11:1303084. doi: 10.3389/fvets.2024.1303084
Recibido: 27 de septiembre de 2023; Aceptado: 26 de febrero de 2024;
Publicado: 12 marzo 2024.
Editado por:
Sílvia Sisó, AbbVie, Estados Unidos
Revisado por:
Luciana Mandrioli, Universidad de Bolonia, Italia
Thomas Cardy, Especialistas en Veterinaria de Cuevas, Reino Unido
Derechos de autor © 2024 Santifort, Garosi y Weerts. Este es un artículo de acceso abierto distribuido bajo los términos de la Licencia Creative Commons Attribution License (CC BY).
*Correspondencia: Koen M. Santifort, koen.santifort@evidensia.nl
Renuncia: Todas las afirmaciones expresadas en este artículo son únicamente las de los autores y no representan necesariamente las de sus organizaciones afiliadas, ni las del editor, los editores y los revisores. Cualquier producto que pueda ser evaluado en este artículo o afirmación que pueda hacer su fabricante no está garantizado ni respaldado por el editor.
Date de alta y recibe nuestro 👉🏼 Diario Digital AXÓN INFORMAVET ONE HEALTH
Date de alta y recibe nuestro 👉🏼 Boletín Digital de Foro Agro Ganadero
Noticias animales de compañía
Noticias animales de producción
Trabajos técnicos animales de producción
Trabajos técnicos animales de compañía

