Supervivencia de perros con tumores pulmonares primarios
Supervivencia de perros con tumores pulmonares primarios
Por Christopher B. Thomson, DVM, DACVS (SA), Veterinary Specialty Hospital of North County, San Marcos, California
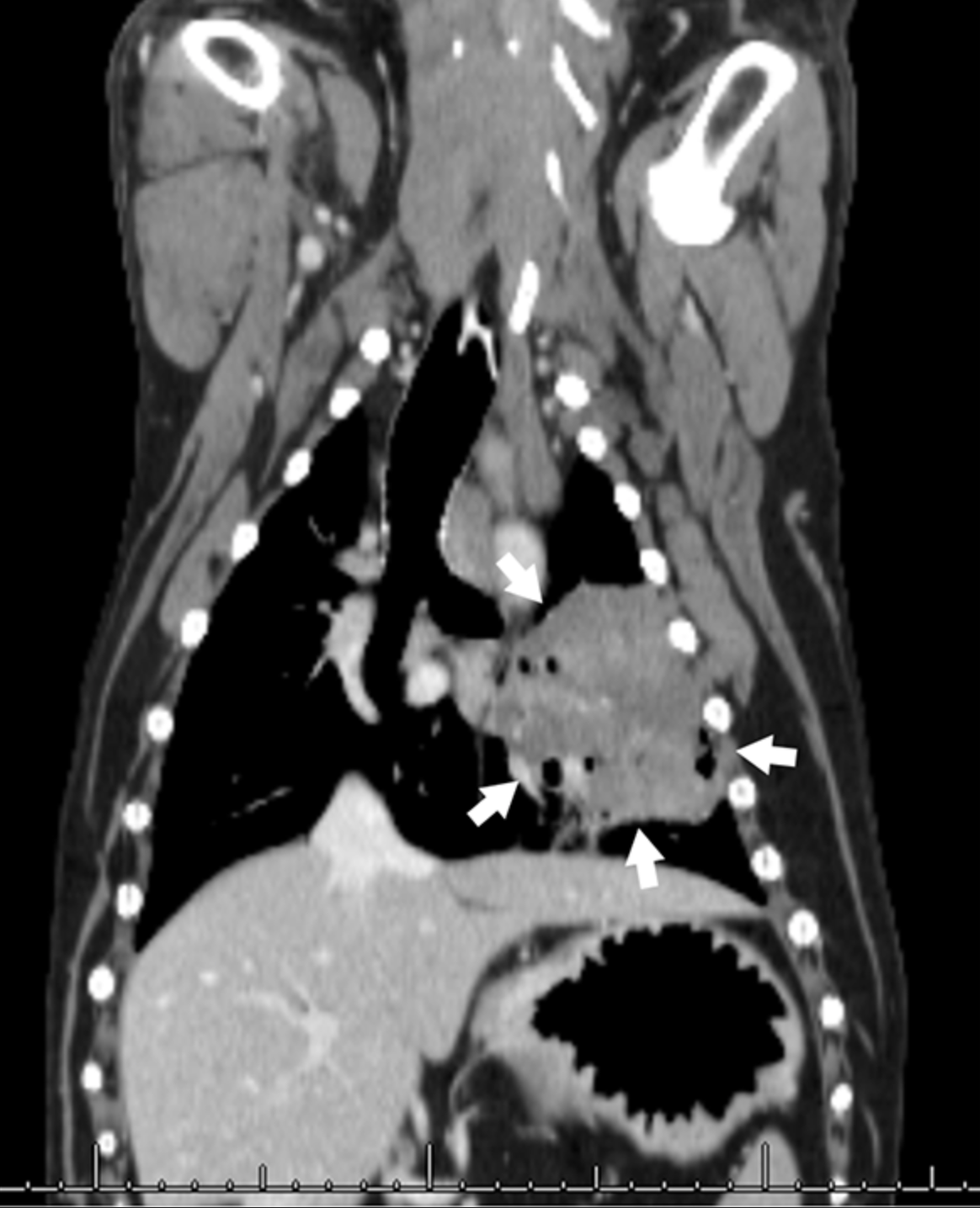
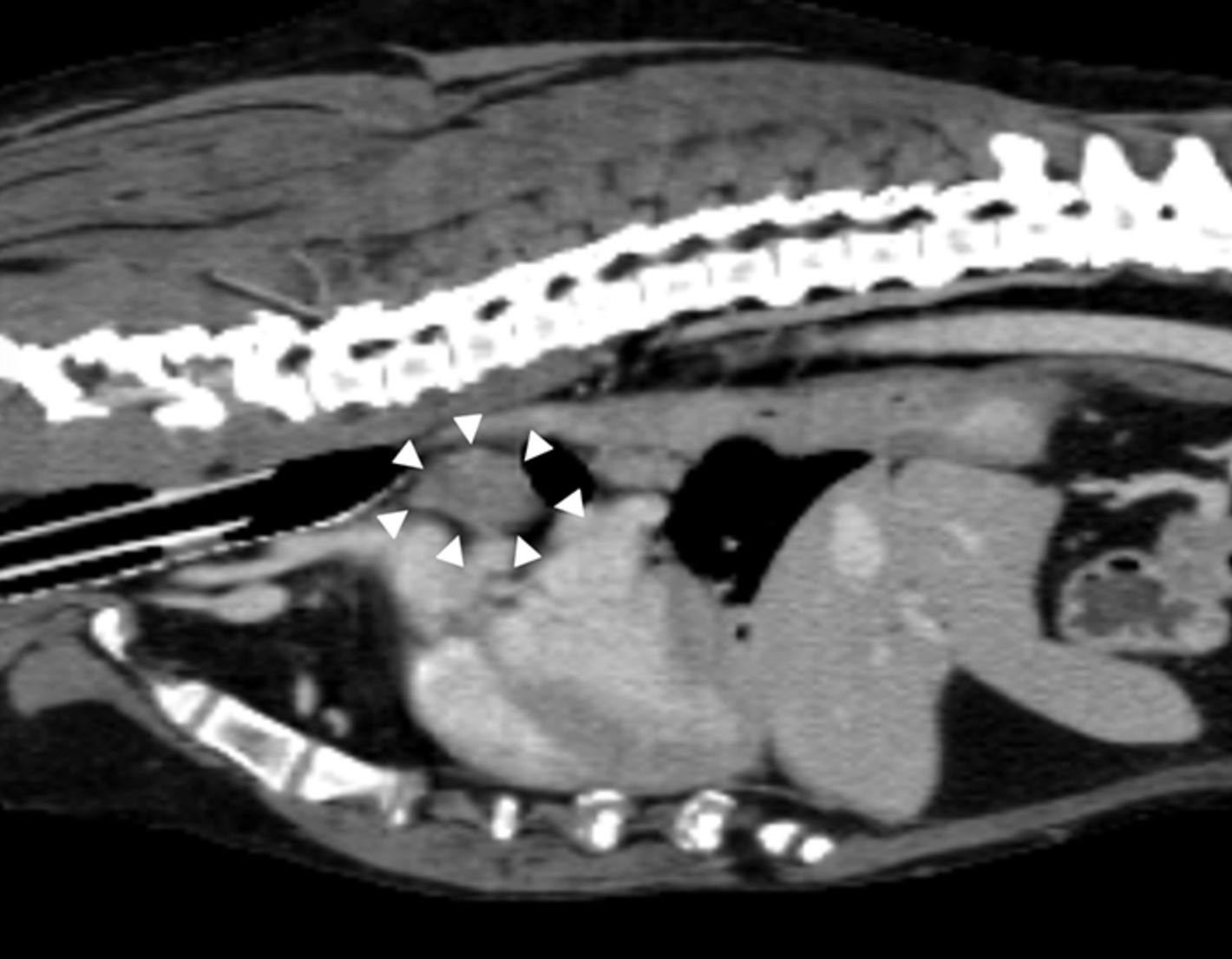
El pronóstico para perros diagnosticados con tumores pulmonares primarios depende de múltiples factores, incluidos signos clínicos, factores específicos del tumor (p. Ej., Tamaño, subtipo histológico, grado) y estadio clínico.1-4 La metástasis a menudo ocurre a través de los linfáticos porque la mayoría de los tumores pulmonares derivan del tejido epitelial; sin embargo, también se ha reportado diseminación vascular e intra-respiratoria.2,4 Históricamente, la metástasis en los ganglios linfáticos se ha asociado en gran medida con una supervivencia significativamente más corta, 1-4 a menudo provocando un tratamiento adyuvante costoso que puede resultar en morbilidad. Informes anteriores han sugerido una supervivencia de solo 26 a 131 días en perros con metástasis en los ganglios linfáticos.1-3,5
En este estudio retrospectivo contemporáneo, se revisaron los registros de 98 perros que se sometieron a cirugía por un tumor primario de pulmón. De estos, también se incluyeron 40 perros con biopsia de ganglio linfático. Al tratarse de un estudio retrospectivo, no se controlaron los tratamientos adyuvantes. Se administraron múltiples formas de quimioterapia de dosis máxima tolerada, quimioterapia metronómica y otros fármaco.

De los perros que se sometieron a biopsia de ganglio linfático, 11 (27,5%) tenían metástasis en el ganglio linfático. En el análisis univariado y multivariado, la presencia de metástasis en los ganglios linfáticos, la administración de quimioterapia adyuvante y el índice mitótico no alcanzaron significación estadística. Sin embargo, estos datos deben interpretarse con cautela debido a la naturaleza retrospectiva del estudio y al bajo número de casos en varias categorías. Al igual que en informes anteriores, el tamaño del tumor primario se asoció negativamente con la supervivencia; los pacientes con un tumor más grande tuvieron un tiempo de supervivencia significativamente más corto.

La metástasis en los ganglios linfáticos se identificó mediante histopatología quirúrgica en algunos perros que tenían ganglios linfáticos radiológicamente normales según las imágenes de TC. Esto resalta la importancia de la extirpación quirúrgica de los ganglios linfáticos cuando sea posible, a pesar de que la anatomía es ocasionalmente desafiante e independientemente de los hallazgos de las imágenes preoperatorias. Se justifica la investigación adicional sobre el impacto a largo plazo de la metástasis en los ganglios linfáticos en perros con tumores pulmonares primarios.
Perlas clave para poner en práctica:
1 La supervivencia de perros con tumores pulmonares primarios se puede prolongar con cirugía sola; la mediana de supervivencia fue de 167 días en perros con metástasis en los ganglios linfáticos y de 456 días en perros sin metástasis.
2 El tamaño del tumor primario de pulmón afecta significativamente la supervivencia; los pacientes con tumores más pequeños tienen una mediana de supervivencia prolongada.
3 La extirpación de los ganglios linfáticos debe realizarse durante la cirugía cuando sea posible, a pesar de los problemas ocasionales con la anatomía e independientemente de los hallazgos de las imágenes preoperatorias.
Fuente Clinician’s Brief
Date de alta y recibe nuestro 👉🏼 Diario Digital AXÓN INFORMAVET ONE HEALTH
Date de alta y recibe nuestro 👉🏼 Boletín Digital de Foro Agro Ganadero
